Skip directly to search Skip directly to A to Z list Skip directly to navigation Skip directly to page options Skip directly to site content
bannermenu

Case #414 - February 2016

Case Description

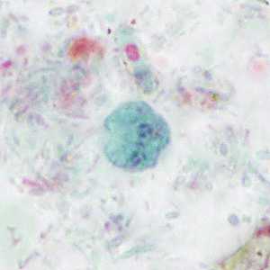
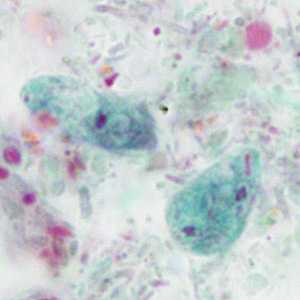
A 7-year-old boy was presented to his health care provider with symptoms of intermittent diarrhea, abdominal pain and loss of appetite. A stool specimen was collected in 10% formalin and zinc PVA (Zn-PVA) for routine ova-and-parasite (O&P) examination.  Figures A-F show what was observed at 1000x magnification with oil on a trichrome-stained smear made from stool preserved in the Zn-PVA.  The objects of interest measured 7-13 µm.  Figures A and B show the same object at different focal planes. What is your diagnosis? Based on what criteria?

	Figure A

Figure A

	Figure B

Figure B

	Figure C

Figure C

	Figure D

Figure D

	Figure E

Figure E

	Figure F

Figure F

Case Answer

This was a case of Dientamoeba fragilis infection. Diagnostic features shown included:

  • trophozoites with one or two nuclei with clusters of karyosomal chromatin and no peripheral chromatin.
  • trophozoites within the size range consistent for D. fragilis (5-15µm).

More on: Dientamoeba fragilis

DPDx is an education resource designed for health professionals and laboratory scientists. For an overview including prevention and control visit www.cdc.gov/parasites/.

  • Page last reviewed: August 24, 2016
  • Page last updated: August 24, 2016
  • Content source:
  • Maintained By:
Top