Case #380 - September 2014
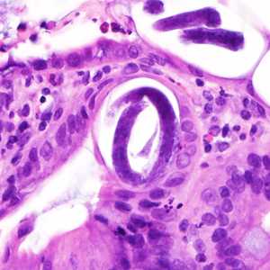
A 25-year-old male was hospitalized for Crohn’s exacerbation, duodenal outlet obstruction, and regional enteritis. He indicated that he has not had recent travel abroad. The patient underwent a gastroenterostomy and duodenal biopsy specimens revealed acute and chronic inflammation with crypt abscesses, focal ulceration, and reactive epithelial changes. Granulomata, epithelial dysplasia, and fibrosis were lacking. The attending pathologist also noted suspect parasitic organisms and the slides were sent to the state health department, which in turn forwarded them to the CDC-DPDx for diagnostic assistance. Figures A-F show what was observed on the slides received for testing. Figure A was taken at 100x magnification; Figures B-D at 400x magnification; and Figures E and F at 1000x magnification with oil. What is your diagnosis? Based on what criteria?
Figure A
Figure B
Figure C
Figure D
Figure E
Figure F
Case Answer
This was a case of disseminated strongyloidiasis caused by Strongyloides stercoralis. The images revealed both adult females and filariform larvae (Figures A and B). Diagnostic morphologic features included:
- small, adult female worms with paired uterine tubes (UT, Figure E) and a simple intestine (IN, Figure E).
- numerous filariform larvae lacking reproductive structures (Figures C, D, and F).

Additional testing on this patient also revealed larvae in sputum. Serology can also be performed for confirmation of strongyloidiasis.
More on: Strongyloidiasis
Images presented in the monthly case studies are from specimens submitted for diagnosis or archiving. On rare occasions, clinical histories given may be partly fictitious.
DPDx is an education resource designed for health professionals and laboratory scientists. For an overview including prevention and control visit www.cdc.gov/parasites/.
- Page last reviewed: August 24, 2016
- Page last updated: August 24, 2016
- Content source:
- Global Health – Division of Parasitic Diseases and Malaria
- Notice: Linking to a non-federal site does not constitute an endorsement by HHS, CDC or any of its employees of the sponsors or the information and products presented on the site.
- Maintained By:
ShareCompartir