Case #369 - April 2014
A 24-year-old male with a history of granulomatous immunodeficiency had biopsy specimens taken of skin lesions on his right forearm (Figure A). Specimens were submitted to Pathology for routine histological work-up. Slides were examined by the attending pathologist and images were captured and sent to the DPDx Team for diagnostic assistance. Figures B-E show what was observed by the attending pathologist from the superficial and mid-dermis. Figure B is from a biopsy specimen stained with Gomori methenamine silver (GMS). Figures C and D are from hematoxylin-and-eosin (H&E) stained sections. Figure E is from a section stained with periodic acid-Schiff (PAS). What is your diagnosis? Based on what criteria?
Figure A
Figure B
Figure C
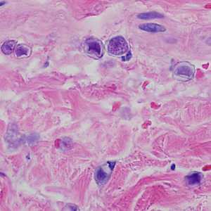
Figure D
Figure E
Case Answer
This was a case of free-living amebic infection caused by Acanthamoeba sp. Morphologic features shown included:
- the presence cysts that will stain positive for PAS (Figure E) and GMS (Figure B). As such, cysts of Acanthamoeba (and Balamuthia) but be distinguished from fungal elements.
- the presence of cysts (Figures B-E) with a wrinkled outer cyst wall (exocyst) and a spherical inner cyst wall (endocyst).
- the presence of trophozoites (Figure D) with large, centrally-located karyosomes and no peripheral chromatin.
More on: Acanthamoeba infections
This case and images were kindly provided by The University of Michigan Department of Pathology.
Images presented in the monthly case studies are from specimens submitted for diagnosis or archiving. On rare occasions, clinical histories given may be partly fictitious.
DPDx is an education resource designed for health professionals and laboratory scientists. For an overview including prevention and control visit www.cdc.gov/parasites/.
- Page last reviewed: August 24, 2016
- Page last updated: August 24, 2016
- Content source:
- Global Health – Division of Parasitic Diseases and Malaria
- Notice: Linking to a non-federal site does not constitute an endorsement by HHS, CDC or any of its employees of the sponsors or the information and products presented on the site.
- Maintained By:
ShareCompartir