Skip directly to search Skip directly to A to Z list Skip directly to navigation Skip directly to page options Skip directly to site content
bannermenu

Case #364 - January 2014

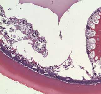
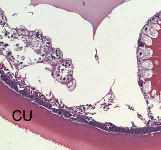
An 81-year-old man, with a previous history of basal-cell carcinoma on his upper right arm and shoulder, presented with a small protuberance in the hollow of his left knee. A biopsy specimen was collected, sectioned, and stained with hematoxylin-and-eosin (H&E). Figures A-D show what was observed by the attending pathologist. What is your diagnosis? Based on what criteria?

	Case364_A

Figure A

	Case364_B

Figure B

	Case364_C

Figure C

	Case364_D

Figure D

Case Answer

This case showed an embedded hard tick (Ixodidae). Further identification to the genus level was not possible from the processed specimen. Diagnostic features included:

  • sclerotized mouthparts (MP, Figure B).
  • cross-sections of legs (LG, Figure B).
  • thick, acellular cuticle (CU, Figure D).

Figure B

Figure D

More on: Ticks

This case and images were kindly provided by the Laboratory for Medical Microbiology and Public Health Twente Achterhoek, Enschede, Netherlands.

Images presented in the monthly case studies are from specimens submitted for diagnosis or archiving. On rare occasions, clinical histories given may be partly fictitious.

DPDx is an education resource designed for health professionals and laboratory scientists. For an overview including prevention and control visit www.cdc.gov/parasites/.

  • Page last reviewed: August 24, 2016
  • Page last updated: August 24, 2016
  • Content source:
  • Maintained By:
Top