Skip directly to search Skip directly to A to Z list Skip directly to navigation Skip directly to page options Skip directly to site content
bannermenu

Case #357 - October, 2013

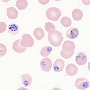
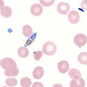
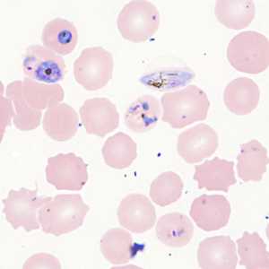
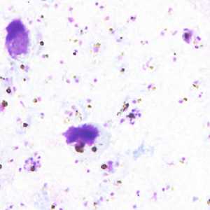
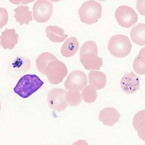
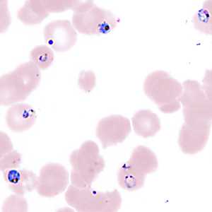
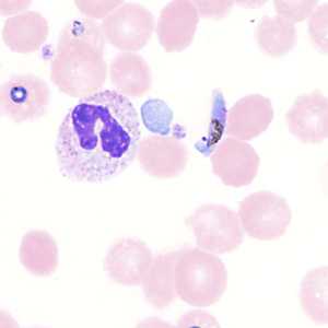
A 59-year-old man required emergency medical attention due to hyperpyrexia (>40° C/104° F), generalized convulsions, and signs of renal failure. The patient's recent travel history was not available. Blood specimens were collected in EDTA for routine work up. In addition, STAT blood smears were ordered, stained with Wright stain, and examined. Figures A-I show what was observed at 1000x magnification. The images in Figures A-C were taken from a thick film; the images in Figures D-I were taken from a thin film. What is your diagnosis? Based on what criteria?

	Case357_A

Figure A

	Case357_B

Figure B

	Case357_C

Figure C

	Case357_D

Figure D

	Case357_E

Figure E

	Case357_F

Figure F

	Case357_G

Figure G

	Case357_H

Figure H

	Case357_I

Figure I

Case Answer

This was a case of malaria caused by Plasmodium falciparum. In naïve (nonimmune) individuals, hyperparasitemia (>5% parasitized erythrocytes or > 250,000 parasites/μl) and the presence of more mature forms such as late trophozoites, schizonts, and gametocytes, are indicators of severe malaria. Morphologic features shown in the figures included:

  • late compact trophozoites in normal-sized erythrocytes.
  • elongate and “banana-shaped” gametocytes consistent with P. falciparum (Figures E, F, and G).
  • schizonts with approximately 16-18 small merozoites in a normal-sized erythrocyte (Figures A-E, I).
  • thin, delicate rings (Figures H and I).

More on: Malaria

Images presented in the monthly case studies are from specimens submitted for diagnosis or archiving. On rare occasions, clinical histories given may be partly fictitious.

DPDx is an education resource designed for health professionals and laboratory scientists. For an overview including prevention and control visit www.cdc.gov/parasites/.

  • Page last reviewed: August 24, 2016
  • Page last updated: August 24, 2016
  • Content source:
  • Maintained By:
Top