Skip directly to search Skip directly to A to Z list Skip directly to navigation Skip directly to page options Skip directly to site content
bannermenu

Case #355 - September, 2013

A worm-like object was removed during a routine colonoscopy performed on a 65-year-old male patient. The patient had no gastrointestinal complaints and no documented international travel. The object measured approximately 11.0 mm in length. The specimen was sent to Pathology for routine histological work-up, including sectioning and staining with hematoxylin-and-eosin (H&E). Digital images were captured and sent to the DPDx Team for diagnostic assistance. Figures A-D show four of the images sent for consultation. Follow-up ova-and-parasite (O&P) examinations of stool were negative. What is your diagnosis? Based on what criteria?

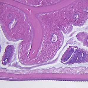
	Case355_A

Figure A

	Case355_B

Figure B

	Case355_C

Figure C

	Case355_D

Figure D

Case Answer

This was a case of intestinal hookworm infection. Diagnostic features included:

  • a large, prominent buccal capsule (BC, Figure A) and a strong, muscular, club-shaped esophagus (ES, Figure A).
  • thick, relatively smooth cuticle (CU, Figure D).
  • nucleated intestine (IN, Figure D) with a conspicuous microvillus border (MV, Figure D).

Figure A

Figure D

The infection was probably caused by either Necator americanus or Ancylostoma duodenale. However, the structures of the mouthparts needed to separate the two genera were not clearly shown in the images due to the processing (sectioning) of the worm.
 

More on: Hookworm

This case and images were kindly provided by Jackson Memorial Hospital, Miami, FL.

Images presented in the monthly case studies are from specimens submitted for diagnosis or archiving. On rare occasions, clinical histories given may be partly fictitious.

DPDx is an education resource designed for health professionals and laboratory scientists. For an overview including prevention and control visit www.cdc.gov/parasites/.

  • Page last reviewed: August 24, 2016
  • Page last updated: August 24, 2016
  • Content source:
  • Maintained By:
Top