Case #354 - August, 2013
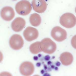
A 54-year-old male from Pennsylvania presented to his health provider with fever, chills, malaise, and loss of appetite. The patient was originally from Mexico but has been living in the eastern U.S. for the past several months. A blood smear was prepared and stained with Wright's stain. Images were captured at 1000x magnification and sent to the DPDx team for diagnostic assistance (Figures A-F). What is your diagnosis? Based on what criteria? What other tests, if any, would you recommend?
Figure A
Figure B
Figure C
Figure D
Figure E
Figure F
Case Answer
This was a case of babesiosis caused by Babesia sp. Morphologic features included:
- pleomorphic and vacuolated intraerythrocytic ring-like parasites in normal-sized red blood cells.
- an absence of malarial pigment found in Plasmodium species.
Identification of Babesia to the species or strain level is not possible by morphology, and requires molecular analysis of a blood specimen. Follow-up on this case included an EDTA blood specimen for PCR and the result was B. microti.
More on: Babesiosis
This case and images were kindly provided by the Pennsylvania Department of Health, Bureau of Laboratories, Exton, PA.
Images presented in the monthly case studies are from specimens submitted for diagnosis or archiving. On rare occasions, clinical histories given may be partly fictitious.
DPDx is an education resource designed for health professionals and laboratory scientists. For an overview including prevention and control visit www.cdc.gov/parasites/.
- Page last reviewed: August 24, 2016
- Page last updated: August 24, 2016
- Content source:
- Global Health – Division of Parasitic Diseases and Malaria
- Notice: Linking to a non-federal site does not constitute an endorsement by HHS, CDC or any of its employees of the sponsors or the information and products presented on the site.
- Maintained By:
ShareCompartir