Skip directly to search Skip directly to A to Z list Skip directly to navigation Skip directly to page options Skip directly to site content
bannermenu

Case #335 - November, 2012

A state health laboratory received Wright-stained blood films for malaria confirmation and identification. The patient had most-recently traveled to Pakistan (but had been in the U.S. for the past nine months without additional international travel). The following day, the state health lab received additional blood films on the same patient, but from a different hospital. In this second set of specimens, the slides were stained with Giemsa. Images from both sets were captured and sent to the CDC-DPDx for diagnostic assistance. Figures A-E were from the earlier specimen stained with Wright stain; Figures F-I were from the later specimen stained with Giemsa. What is your diagnosis? Based on what criteria?

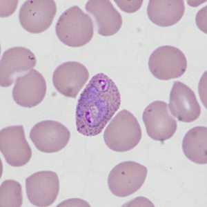
	Case335_A

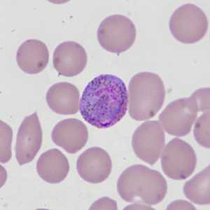
Figure A

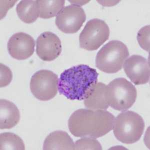
	Case335_B

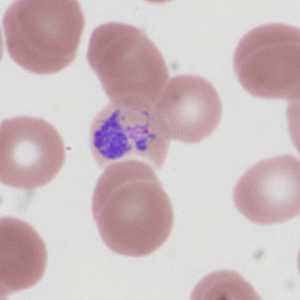
Figure B

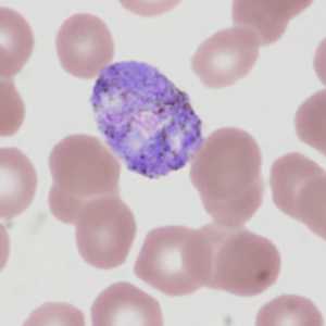
	Case335_C

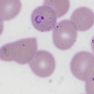
Figure C

	Case335_D

Figure D

	Case335_E

Figure E

	Case335_F

Figure F

	Case335_G

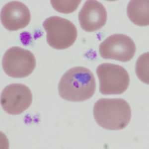
Figure G

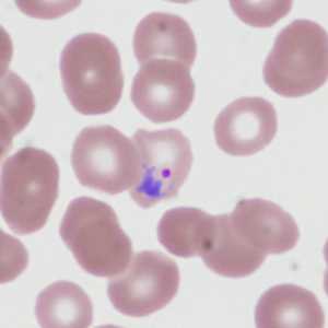
	Case335_H

Figure H

	Case335_I

Figure I

Case Answer

This was a case of malaria caused by Plasmodium vivax. Diagnostic morphologic features included:

  • rings with thick, sturdy cytoplasm (Figure H).
  • developing trophozoites becoming amoeboid (Figures C-F).
  • large, round gametocytes with fine pigment (Figures A, B, G, and I).
  • Schϋffner's stippling (seen in the Giemsa-stained specimens, Figures F-I).
  • enlargement of infected RBCs (best demonstrated in Figures B, F, G, and I).

More on: Malaria

This case and images were kindly provided by the Missouri State Health Lab, Jefferson City, MO.

Images presented in the monthly case studies are from specimens submitted for diagnosis or archiving. On rare occasions, clinical histories given may be partly fictitious.

DPDx is an education resource designed for health professionals and laboratory scientists. For an overview including prevention and control visit www.cdc.gov/parasites/.

  • Page last reviewed: August 24, 2016
  • Page last updated: August 24, 2016
  • Content source:
  • Maintained By:
Top