Case #319 - March, 2012
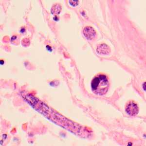
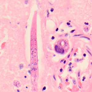
A 65-year-old patient was admitted to the hospital with fever, nausea, and vomiting after recently being treated as an outpatient for a urinary tract infection. Her past medical history included being diagnosed with bipolar disorder, hypertension, osteoarthritis, and compression fractures. She was a smoker and the only known animal contacts were her pet dogs. During hospitalization, her mental health continued to decline and she was pronounced brain-dead after one month's stay at the hospital. CT and MRI scans of her brain prior to death did not show any focal lesions. An autopsy was performed and cultures of brain tissue were negative for bacterial and viral agents. Sections of brain tissue were processed by Pathology and stained with hematoxylin and eosin (H&E). Figures A-B show what was observed by the attending pathologist. Images were captured and sent to the DPDx Team for diagnostic assistance. What is your diagnosis? Based on what criteria?
Figure A
Figure B
Figure C
Figure D
Figure E
Figure F
Case Answer
This was a case of meningoencephalitis caused by a nematode in the genus, Halicephalobus. Diagnostic features included:
- rhabditoid esophagus (best seen in Figures A, C, and E).
- cross-sections showing a nucleate intestine (IN, Figure C) and reproductive tube (RT, Figure C).
- developing egg in utero (EG, Figure D).

Figure C

Figure D
Members of the genus Halicephalobus are free-living or saprophagous nematodes that under certain conditions have been known to infect humans and livestock. It is believed the worms enter the body through pre-existing lesions and disseminate to various organs, especially the central nervous system, where they multiply rapidly causing death. Diagnosis is usually made post-mortem.
Images presented in the monthly case studies are from specimens submitted for diagnosis or archiving. On rare occasions, clinical histories given may be partly fictitious.
DPDx is an education resource designed for health professionals and laboratory scientists. For an overview including prevention and control visit www.cdc.gov/parasites/.
- Page last reviewed: August 24, 2016
- Page last updated: August 24, 2016
- Content source:
- Global Health – Division of Parasitic Diseases and Malaria
- Notice: Linking to a non-federal site does not constitute an endorsement by HHS, CDC or any of its employees of the sponsors or the information and products presented on the site.
- Maintained By:
ShareCompartir