Skip directly to search Skip directly to A to Z list Skip directly to navigation Skip directly to page options Skip directly to site content
bannermenu

Case #310 - October, 2011

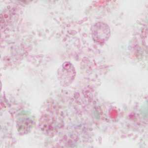
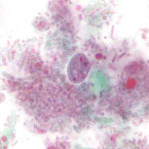
A 42-year-old photographer, who is known to travel to remote locations in tropical regions, presented to her health care provider with mild, intermittent abdominal cramping and low grade fever. A fecal specimen in polyvinyl-alcohol (PVA) was submitted for ova-and-parasite (O&P) examination. A smear was prepared and stained with trichrome. Figures A-F show what was observed at 1000x magnification. Objects of interest measured 6-8 micrometers on average. What is your diagnosis? Based on what criteria?

	Case310_A

Figure A

	Case310_B

Figure B

	Case310_C

Figure C

	Case310_D

Figure D

	Case310_E

Figure E

	Case310_F

Figure F

Case Answer

This case presented two intestinal protozoa, Enteromonas hominis and Entamoeba hartmanni. Both of these organisms are considered nonpathogenic, although their presence in stool can be an indicator of fecal contamination of food or water. Morphologic diagnostic features shown include:

  • small, ovoid or pyriform trophozoites with nuclei that a have large, central karyosome (Figures A, B, and D) and are within the size range for E. hominis (6-8 micrometers.
  • oval cysts with 2-4 nuclei that have large, central karyosome and are within the size range for E. hominis (Figures C, E, and F). Notice that the nuclei or pairs of nuclei are located at polar opposite ends of the cysts.
  • small trophozoites of E. hartmanni whose nuclei show even peripheral chromatin and a small, central karyosome (Figures C and D). The trophozoites are also within the size range of E. hartmanni (5-15 micrometers).

More on: Enteromonas hominis; Entamoeba hartmanni

Images presented in the monthly case studies are from specimens submitted for diagnosis or archiving. On rare occasions, clinical histories given may be partly fictitious.

DPDx is an education resource designed for health professionals and laboratory scientists. For an overview including prevention and control visit www.cdc.gov/parasites/.

  • Page last reviewed: August 24, 2016
  • Page last updated: August 24, 2016
  • Content source:
  • Maintained By:
Top