Skip directly to search Skip directly to A to Z list Skip directly to navigation Skip directly to page options Skip directly to site content
bannermenu

Case #302 - June, 2011

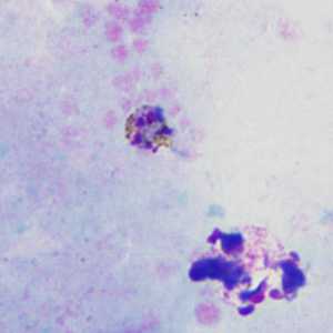
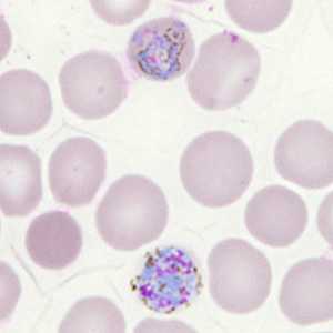
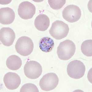
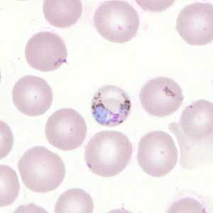
A 42-year-old man presented to his health care provider with fever, chills, and mild myalgia. He mentioned that his occupation requires frequent travel to Indonesia and Malaysia and that he often does not take any malaria prophylaxis. Blood smears were ordered, stained with Giemsa, and examined. Figures A-D show what was observed on thick smears at 1000x magnification with oil. Figures E-I show what was observed on thin smears at 1000x magnification with oil. What is your diagnosis? Based on what criteria?

	Case302_A

Figure A

	Case302_B

Figure B

	Case302_C

Figure C

	Case302_D

Figure D

	Case302_E

Figure E

	Case302_F

Figure F

	Case302_G

Figure G

	Case302_H

Figure H

	Case302_I

Figure I

Case Answer

This was a case of malaria caused by Plasmodium malariae. Diagnostic morphologic features included:

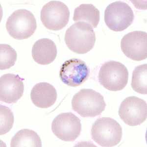
  • compact gametocytes with coarse pigment in red blood cells normal-sized or smaller (Figure E).
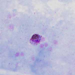
  • a band-form trophozoite (Figure F) consistent with P. malariae.
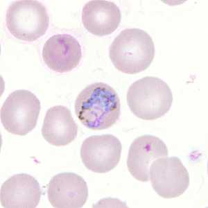
  • basket-form trophozoites (Figures G and H) consistent with P. malariae in smaller than normal red blood cells.
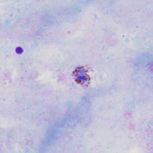
  • an immature schizont (Figure I) in an normal-sized red blood cell.

More on: Malaria

Images presented in the monthly case studies are from specimens submitted for diagnosis or archiving. On rare occasions, clinical histories given may be partly fictitious.

DPDx is an education resource designed for health professionals and laboratory scientists. For an overview including prevention and control visit www.cdc.gov/parasites/.

  • Page last reviewed: August 24, 2016
  • Page last updated: August 24, 2016
  • Content source:
  • Maintained By:
Top