Case #295 - March, 2011
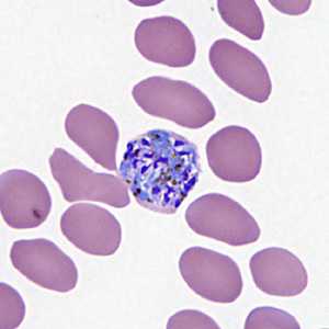
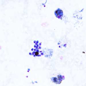
A hospital laboratory sent a tube of EDTA blood and Wright-Giemsa stained blood smears (thick and thin) to the DPDx Team for malaria confirmation/identification. No travel history was available. Figures A-C show what was observed on the thick smear; Figures D-I show what was observed on the thin smear. What is your diagnosis? Based on what criteria? What additional testing, if any, would you recommend?
Figure A
Figure B
Figure C
Figure D
Figure E
Figure F
Figure G
Figure H
Figure I
Case Answer
This was a case of malaria caused by Plasmodium vivax. Diagnostic morphologic features included:
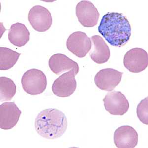
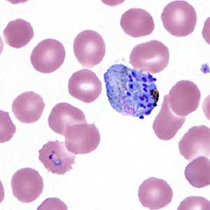
- greatly-enlarged infected red blood cells (Figures D,G,H, and I).
- schizonts with more than 15 merozoites (Figures G and I).
- amoeboid trophozoites (Figure D).
- large, round gametocytes (Figures A, B,C,D,H and I) with fine pigment.
- faint Schϋffner's stippling.
The morphologic features shown in some of the figures (especially the ring-form trophozoites) were suggestive of a mixed infection with Plasmodium falciparum. The pleomorphic gametocyte in Figure H was suggestive of a gametocyte of P. falciparum. However, the pigment was fine and dispersed and Schϋffner's stippling can be seen in the host RBC. Also shown was an infected red blood cell that contained both a gametocyte and a schizont (Figure I). This can occur when two trophozoites infect a single red blood cell but one develops into a gametocyte and the other a schizont. Conventional (nested) PCR was performed on the EDTA blood in this case and it was demonstrated that only P. vivax was present.
More on: Malaria
Images presented in the monthly case studies are from specimens submitted for diagnosis or archiving. On rare occasions, clinical histories given may be partly fictitious.
DPDx is an education resource designed for health professionals and laboratory scientists. For an overview including prevention and control visit www.cdc.gov/parasites/.
- Page last reviewed: August 24, 2016
- Page last updated: August 24, 2016
- Content source:
- Global Health – Division of Parasitic Diseases and Malaria
- Notice: Linking to a non-federal site does not constitute an endorsement by HHS, CDC or any of its employees of the sponsors or the information and products presented on the site.
- Maintained By:
ShareCompartir