Skip directly to search Skip directly to A to Z list Skip directly to navigation Skip directly to page options Skip directly to site content
bannermenu

Case #285 - October, 2010

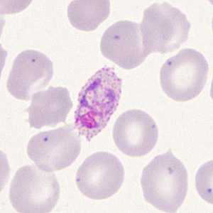
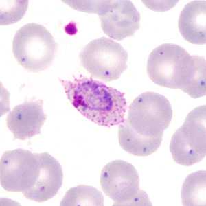
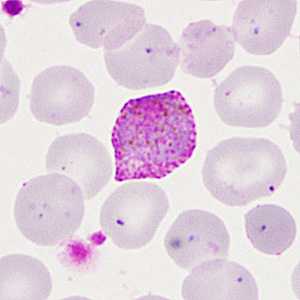
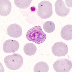
A 33-year-old woman, who had traveled to Togo and Benin for two weeks, developed fever, chills, and rigors within three days after returning to the U.S. She sought medical attention at a local hospital where she provided her travel history and explained that she did not take malaria prophylaxis due to lost baggage between countries during travel. Blood smears were ordered, stained with Giemsa, and examined at 1000x oil magnification. Figures A- B show what was found on a thick smear; Figures C-F show what was observed on a thin smear. What is your diagnosis? Based on what criteria?

	Case285_A

Figure A

	Case285_B

Figure B

	Case285_C

Figure C

	Case285_D

Figure D

	Case285_E

Figure E

	Case285_F

Figure F

Case Answer

This was a case of malaria caused by Plasmodium ovale. Diagnostic features shown in the images included:

  • moderately enlarged infected red blood cells (RBCs) with Schüffner's stippling (Figures C-F).
  • fimbriated infected RBCs (Figures C and D).
  • large, slightly amoeboid trophozoites (Figures C,D and E).
  • large gametocyte in enlarged RBCs (Figure F).

Figures A and B, taken from the thick film, show trophozoites and a gametocyte (Figure A) and an immature schizont (Figure B).

More on: Malaria

Images presented in the monthly case studies are from specimens submitted for diagnosis or archiving. On rare occasions, clinical histories given may be partly fictitious.

DPDx is an education resource designed for health professionals and laboratory scientists. For an overview including prevention and control visit www.cdc.gov/parasites/.

  • Page last reviewed: August 24, 2016
  • Page last updated: August 24, 2016
  • Content source:
  • Maintained By:
Top