Skip directly to search Skip directly to A to Z list Skip directly to navigation Skip directly to page options Skip directly to site content
bannermenu

Case #277 - June, 2010

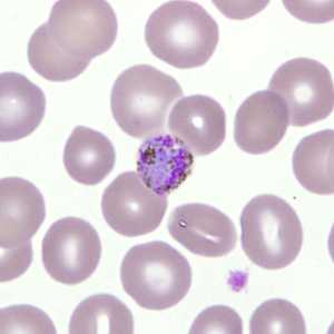
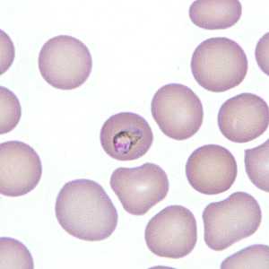
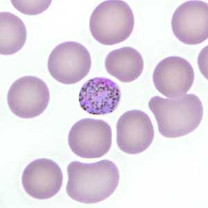
A 29-year-old female went to her health care provider with complaints of fever and headache, two weeks after returning home from trips to Uganda and Sudan. She admitted that she only took malaria prophylaxis whenever she did not feel well. A blood smear was ordered by her physician. Figures A-F show what was observed on a Giemsa-stained thin blood smear. What is your diagnosis? Based on what criteria?
	Case277_A

Figure A

	Case277_B

Figure B

	Case277_C

Figure C

	Case277_D

Figure D

	Case277_E

Figure E

	Case277_F

Figure F

Case Answer

This was a case of malaria caused by Plasmodium malariae. Diagnostic morphologic features shown included:

  • smaller than normal infected red blood cells.
  • parasites with coarse pigment.
  • basket-form (Figures A and B) and band-form (Figure C) trophozoites.
  • a schizont with fewer than 12 merozoites (Figure F).

More on: Malaria

Images presented in the monthly case studies are from specimens submitted for diagnosis or archiving. On rare occasions, clinical histories given may be partly fictitious.

DPDx is an education resource designed for health professionals and laboratory scientists. For an overview including prevention and control visit www.cdc.gov/parasites/.

  • Page last reviewed: August 24, 2016
  • Page last updated: August 24, 2016
  • Content source:
  • Maintained By:
Top