Case #275 - May, 2010
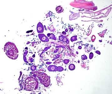
A 70-year-old female, who had recently returned from a trip to Madagascar, went to the hospital for a painful sensation on the underside of her left foot while walking. Examination of the area between the hallux and index toes revealed an ulcerative lesion. A biopsy was performed and sent to the Pathology Department for work-up. The specimen was sectioned, stained with hematoxylin and eosin (H&E) and examined by the attending pathologist. Figures A and B show what was observed at 40x magnification. Figures C and D show the same fields at 200x magnification, respectively. What is your diagnosis? Based on what criteria?
Figure A
Figure B
Figure C
Figure D
Case Answer
This was a case of tungiasis caused by the chigoe flea, Tunga penetrans. Diagnostic features included:
- location of the parasite between the toes.
- remnants of a sclerotized, chitinous exoskeleton (CU, Figure C).
- remnants of the trachea (TR, Figure C).
- developing eggs (EG, Figure D).

Figuere C

Figure D
More on: Tungiasis
Images presented in the monthly case studies are from specimens submitted for diagnosis or archiving. On rare occasions, clinical histories given may be partly fictitious.
DPDx is an education resource designed for health professionals and laboratory scientists. For an overview including prevention and control visit www.cdc.gov/parasites/.
- Page last reviewed: August 24, 2016
- Page last updated: August 24, 2016
- Content source:
- Global Health – Division of Parasitic Diseases and Malaria
- Notice: Linking to a non-federal site does not constitute an endorsement by HHS, CDC or any of its employees of the sponsors or the information and products presented on the site.
- Maintained By:
ShareCompartir