Skip directly to search Skip directly to A to Z list Skip directly to navigation Skip directly to page options Skip directly to site content
bannermenu

Case #257 - August, 2009

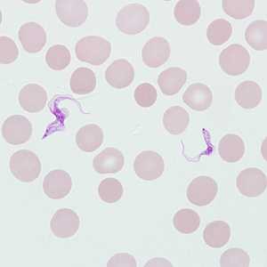
A 43-year-old man from Brazil traveled to Angola and other African countries for business for two weeks. Approximately one week after returning to Brazil, he noticed a small ulcerative lesion on his neck. He recalled being bitten by insects at the site of the lesion, but could not remember if the bites took place in Africa or South America. Two months later, he began to experience fever, headache, and fatigue and sought medical attention. His doctor also noticed that he had swollen lymph nodes. Blood was collected in EDTA for routine work-up. Figures A and B show what was observed at 1000x magnification on a Giemsa-stained smear made from the EDTA blood. What is your diagnosis? Based on what criteria?

	Case257_A

Figure A

	Case257_B

Figure B

Case Answer

This was a case of African trypanosomiasis (African Sleeping Sickness) caused by Trypanosoma brucei. Morphologic features seen in the images included:

  • a small kinetoplast located near the posterior end, which differentiates African trypanosomes from T. cruzi, which has a larger, more prominent kinetoplast.
  • slender and wide forms (Figures A). African trypanosomes are considered polymorphic because they can vary considerably in morphology.
  • dividing forms (Figure B), a feature not demonstrated by T. cruzi.

In addition to what was shown in the images, the patient also presented an ulcerative lesion at the site of a bite which is consistent with a trypanosomal chancre. Trypanosoma b. rhodesiense and T. b. gambiense are morphologically indistinguishable and can only be identified to the species-level by isoenzyme analysis or PCR.

More on: African trypanosomiasis

Images presented in the monthly case studies are from specimens submitted for diagnosis or archiving. On rare occasions, clinical histories given may be partly fictitious.

DPDx is an education resource designed for health professionals and laboratory scientists. For an overview including prevention and control visit www.cdc.gov/parasites/.

  • Page last reviewed: August 24, 2016
  • Page last updated: August 24, 2016
  • Content source:
  • Maintained By:
Top