Skip directly to search Skip directly to A to Z list Skip directly to navigation Skip directly to page options Skip directly to site content
bannermenu

Case #254 - June, 2009

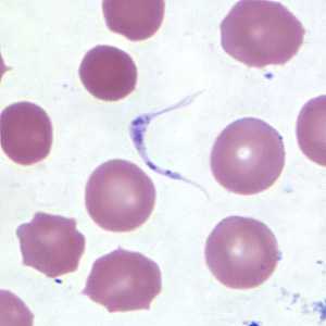
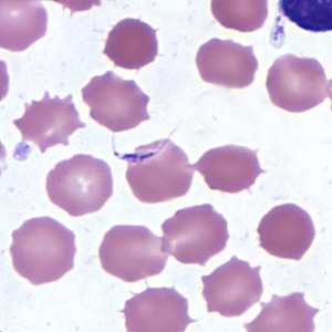
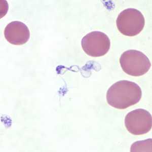
A 37-year-old man traveled to Senegal and The Republic of Gambia for two months. Upon his return, he went to his health care provider with complaints of fatigue, headache and fever. He also stated that he remembered being bitten on several occasions by insects. Laboratory testing included a blood smear stained with Wright-Giemsa. Figures A-D show what was observed on the smear at 1000x magnification. What is your diagnosis? Based on what criteria?

	Case254_A

Figure A

	Case254_B

Figure B

	Case254_C

Figure C

	Case254_D

Figure D

Case Answer

The correct diagnosis was no parasites found (NPF). The objects of interest shown in the images were artifacts (elongated, degenerating platelets). The objects lacked the internal morphologic features (a nucleus and kinetoplast) found in trypanosomes.

More on: Artifacts

Images presented in the monthly case studies are from specimens submitted for diagnosis or archiving. On rare occasions, clinical histories given may be partly fictitious.

DPDx is an education resource designed for health professionals and laboratory scientists. For an overview including prevention and control visit www.cdc.gov/parasites/.

  • Page last reviewed: August 24, 2016
  • Page last updated: August 24, 2016
  • Content source:
  • Maintained By:
Top