Case #236 - September, 2008
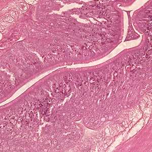
A 30-year-old who frequents sushi restaurants started experiencing severe gastritis, including epigastric pain, nausea and vomiting. He had reported eating at a sushi restaurant the previous day. After being admitted to the hospital for severe pain, a gastric biopsy was performed. A tissue specimen was sectioned and stained with hematoxylin and eosin (H&E). The attending pathologist observed unusual structures from the biopsied material and sent the slide to the CDC for diagnostic assistance. Figures A–C show structures observed on the slide; images were captured at 100x, 200x and 400x, respectively. What is your diagnosis? Based on what criteria?
Figure A
Figure B
Figure C
Case Answer
This was a case of anisakiasis cause by a larva of an anisakid worm. Three genera of anisakid worms have been implicated in human infection: Anisakis, Pseudoterranova, and Contracaecum. The specimen in this case did not show enough morphological features to identify to the genus level. Diagnostic features of an anisakid worm included:
- a multi-layered, thick cuticle (CU, Figure B).
- prominent muscle cells (MU, Figure B).
- a folded intestine with a brush border (BB, Figure C).
Figure B
Figure C
Marine mammals are the normal definitive hosts for anisakid worms. Humans usually become infected with larvae after eating undercooked fish (an intermediate host). The anisakid larvae may be coughed up, spuriously excreted in feces, or burrow into tissue, causing gastritis and appendicitis. Rarely do they migrate to other parts of the body.
More on: Anisakiasis
Images presented in the monthly case studies are from specimens submitted for diagnosis or archiving. On rare occasions, clinical histories given may be partly fictitious.
DPDx is an education resource designed for health professionals and laboratory scientists. For an overview including prevention and control visit www.cdc.gov/parasites/.
- Page last reviewed: August 24, 2016
- Page last updated: August 24, 2016
- Content source:
- Global Health – Division of Parasitic Diseases and Malaria
- Notice: Linking to a non-federal site does not constitute an endorsement by HHS, CDC or any of its employees of the sponsors or the information and products presented on the site.
- Maintained By:
ShareCompartir