Case #225 - April, 2008
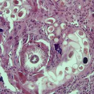
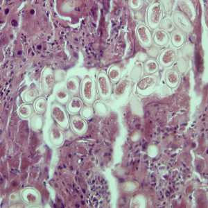
An 8-year-old child was taken to a hospital with fever, hepatomegaly, and persistent cough. The parents told the physician that the child commonly eats dirt, even though they have tried to discourage the habit. A series of tests were conducted, including a liver biopsy. A section made from the biopsy was stained with hematoxylin and eosin (H&E). The following images show what was observed in the specimen. Figures A, B, and C were taken at 200x magnification; Figure D was taken at 1000x oil magnification. The structures shown in Figure D were approximately 57 micrometers long by 32 micrometers wide. What is your diagnosis? Based on what criteria?
Figure A
Figure B
Figure C
Figure D
Case Answer
This was a case of hepatic capillariasis caused by Capillaria hepatica. This is a common parasite of rodents although rare human infections have been reported. Diagnostic features included:
- the presence of eggs (Figures A, C and D) and cross-sections of adult worms (Figures A and B) in the liver tissue.
- eggs within the size range for the species (51 to 67 micrometers), with prominent polar plugs and characteristic striations on the outer shell (Figure D).
- the presence of bacillary bands (blue arrow, Figure B) and a stichocyte (black arrow, Figure B) in the cross-sections of the adult worms.
Figure B
The eggs of Capillaria are occasionally seen in human stool but these represent spurious passage after ingestion of unembryonated, non-infectious eggs. Eggs produced by a patent infection (in the liver) do not pass in the feces of infected hosts, but rather into the environment upon death of the host or from ingestion by another animal.
More on: Hepatic Capillariasis
Images presented in the monthly case studies are from specimens submitted for diagnosis or archiving. On rare occasions, clinical histories given may be partly fictitious.
DPDx is an education resource designed for health professionals and laboratory scientists. For an overview including prevention and control visit www.cdc.gov/parasites/.
- Page last reviewed: August 24, 2016
- Page last updated: August 24, 2016
- Content source:
- Global Health – Division of Parasitic Diseases and Malaria
- Notice: Linking to a non-federal site does not constitute an endorsement by HHS, CDC or any of its employees of the sponsors or the information and products presented on the site.
- Maintained By:
ShareCompartir