Skip directly to search Skip directly to A to Z list Skip directly to navigation Skip directly to page options Skip directly to site content
bannermenu

Case #217 - December, 2007

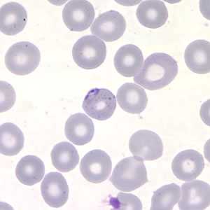
A 29-year-old man, with a history of travel to Rwanda, was seen at a local health clinic for fever, headache, mild nausea, and chills. A blood smear was prepared, stained with Giemsa, and examined at 1000× magnification. Figures A and B show what was seen on the thin blood smear. What is your diagnosis? Based on what criteria?

Figure A

Figure B

Case Answer

This was a case of malaria caused by Plasmodium falciparum. Diagnostic features were:

  • the presence of ring stage forms in normal-sized red blood cells (RBCs). Note that the trophozoites in the images were somewhat more mature as indicated by the thickening of their cytoplasm.
  • appliqué (accolé) presentation of two of the parasites.
  • the presence of Maurer’s clefts.

The infected RBCs shown in this case have Maurer’s clefts, which should not be confused with Schüffner’s dots or stippling. Maurer’s clefts are associated with infections of P. falciparum and appear as spots or blotches of various sizes. Schüffner’s dots are smaller and finer, more uniform in size, and more numerous. Visualization of these features is dependent on the quality of the smear preparation and of the Giemsa stain (including pH). Maurer’s clefts seem to be observable in the presence of late-stage rings when the cytoplasm of the parasite appears thicker as shown in this case. Of note, Maurer’s clefts seem to play a role in certain cell biochemical pathways.

More on: Malaria

Images presented in the monthly case studies are from specimens submitted for diagnosis or archiving. On rare occasions, clinical histories given may be partly fictitious.

DPDx is an education resource designed for health professionals and laboratory scientists. For an overview including prevention and control visit www.cdc.gov/parasites/.

  • Page last reviewed: August 24, 2016
  • Page last updated: August 24, 2016
  • Content source:
  • Maintained By:
TOP