Case #212 - September, 2007
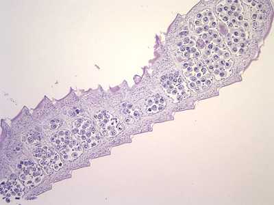
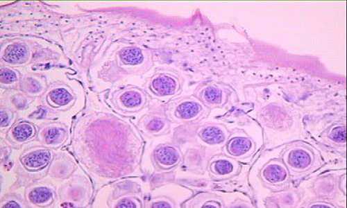
A 38-year-old man sought medical attention because of rectal bleeding. His only reported travel was to Laos two years ago. A colonoscopy was performed and based upon what was found during the procedure, he was given a presumptive diagnosis of tapeworm. The largest object recovered during the colonoscopy measured approximately 0.7 cm in length and 0.05 cm in diameter. Figures A and B, taken at 100× and 400× magnification respectively, were two of the images submitted to DPDx for diagnostic assistance. The DPDx Team concurred with the presumptive diagnosis but required actual specimens for examination to make a more specific identification. Figures C-E, taken at 100×, 400×, and 1000× (oil) magnification respectively, show what was observed on the hematoxylin and eosin (H & E) stained slide sent to CDC. The round to oval structures measured 35 to 40 micrometers in diameter. What is your diagnosis? Based on what criteria?
Figure A
Figure B
Figure C
Figure D
Figure E
Case Answer
This was a case of hymenolepiasis caused by Hymenolepis nana. Diagnostic features were:
- overlapping (craspedote) mature proglottids with eggs (Figures A and C), which ruled out Taenia spp.
- showed golden colored hooks (brown arrows, Figure D) which are seen in most tapeworm eggs.
- the size of the eggs; H. nana eggs are 30-55 micrometers in diameter and those of H. diminuta are larger, 70-86 micrometers by 60-80 micrometers.
- the presence of polar filaments (black arrows, Figure E), a feature consistent with H. nana.
Figure D
Figure E
More on: Hymenolepiasis
This case was kindly contributed by Dr. R Worthington at Sheboygan Memorial Hospital.
Images presented in the monthly case studies are from specimens submitted for diagnosis or archiving. On rare occasions, clinical histories given may be partly fictitious.
DPDx is an education resource designed for health professionals and laboratory scientists. For an overview including prevention and control visit www.cdc.gov/parasites/.
- Page last reviewed: August 24, 2016
- Page last updated: August 24, 2016
- Content source:
- Global Health – Division of Parasitic Diseases and Malaria
- Notice: Linking to a non-federal site does not constitute an endorsement by HHS, CDC or any of its employees of the sponsors or the information and products presented on the site.
- Maintained By:
ShareCompartir