Case #201 - April, 2007
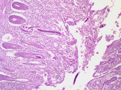
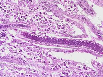
A 49-year-old Filipino man had an intestinal tissue biopsy taken. Figures A-C show what was seen on slides stained with hematoxylin and eosin (H & E). Figure A was taken at 100× magnification, Figure B was taken at 400× magnification, and Figure C (of a different section) was taken at 1000× magnification. Figure D was taken from a wet mount slide of formalin preserved stool; the object of interest in Figure D is approximately 40 micrometers long by 20 micrometers wide. What is your diagnosis? Based on what criteria?
Figure A
Figure B
Figure C
Figure D
Case Answer
This was a case of capillariasis caused by Capillaria philippinensis. Morphologic features, along with the location of the worms (intestine) and the geographic location of the patient (Philippines), were consistent with C. philippinensis. Diagnostic features were:
- transverse sections of the anterior of the worms showing a conspicuous stichosome (Figures A and B).
- the presence of bacillary bands (arrows, Figure C).
- typical C. philippinensis eggs, based on size, shape, and striated shell. The flattened, polar plugs were visible but were not striking in the image shown in this case.
Figure C
Additional testing methods, such as serology and/or molecular techniques, are always recommended to make a species identification of Babesia.
More on: Intestinal Capillariasis
Case study images were captured from reference material donated by Dr. John H. Cross of the Uniformed Services University of the Health Sciences, Bethesda, MD.
Images presented in the monthly case studies are from specimens submitted for diagnosis or archiving. On rare occasions, clinical histories given may be partly fictitious.
DPDx is an education resource designed for health professionals and laboratory scientists. For an overview including prevention and control visit www.cdc.gov/parasites/.
- Page last reviewed: August 24, 2016
- Page last updated: August 24, 2016
- Content source:
- Global Health – Division of Parasitic Diseases and Malaria
- Notice: Linking to a non-federal site does not constitute an endorsement by HHS, CDC or any of its employees of the sponsors or the information and products presented on the site.
- Maintained By:
ShareCompartir