Case #195 - January, 2007
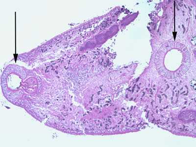
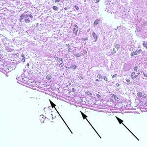
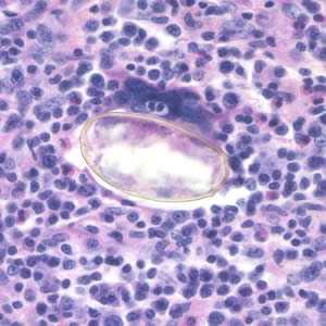
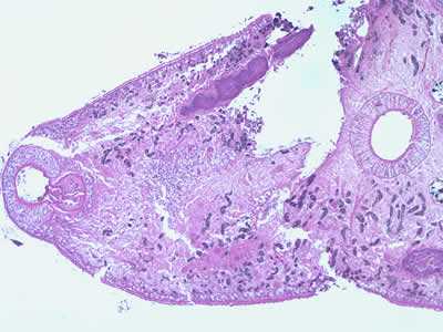
A patient complaining of intermittent symptoms including coughing up blood, fever, and other vague “flu-like” symptoms saw a physician. The patient reported working at a sushi restaurant and eating a raw crab on a dare (Figure A shows a crab similar to the one that the patient ate). Blood tests were ordered and results included peripheral eosinophilia of 10% and a history of bilateral pneumothorax (free air or gas in the pleural cavity). A biopsy yielded a cyst containing a structure 5 mm in length and 2 mm in width. Figure B (40×) and Figure C (100×) show a hematoxylin and eosin (H & E) stained section of the specimen. Figure D (400×) shows an object which measured 80-90 µm by 40-45 µm. Similar objects were found in low numbers in sections of lung tissue. What is your diagnosis? Based on what criteria?
Figure A
Figure B
Figure C
Figure D
Case Answer
This was a case of paragonimiasis caused by Paragonimus spp. Diagnostic features were:
- the presence of oral and a ventral sucker (acetabulum), characteristic of trematodes (arrows, Figure B).
- a thick tegument with spines (arrows, Figure C) on the surface, which is consistent with Paragonimus spp.
- operculated eggs (Figure D) with prominent “shoulders” (arrows, Figure D) that were within the size range for Paragonimus spp.
The most common species in the genus known to infect humans is P. westermani. A species identification can be made if the entire, intact worm is examined, but even then an accurate assessment may still be difficult; accurate epidemiological data can also be helpful in attempting to determine the geographic origin of the infection. Serology and molecular testing can also be performed.
Figure B
Figure C
Figure D
More on: Paragonimiasis
Images presented in the monthly case studies are from specimens submitted for diagnosis or archiving. On rare occasions, clinical histories given may be partly fictitious.
DPDx is an education resource designed for health professionals and laboratory scientists. For an overview including prevention and control visit www.cdc.gov/parasites/.
- Page last reviewed: August 24, 2016
- Page last updated: August 24, 2016
- Content source:
- Global Health – Division of Parasitic Diseases and Malaria
- Notice: Linking to a non-federal site does not constitute an endorsement by HHS, CDC or any of its employees of the sponsors or the information and products presented on the site.
- Maintained By:
ShareCompartir