Case #194 - December, 2006
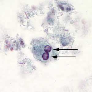
Images from a trichrome stained fecal smear were submitted to DPDx telediagnosis assistance from a public health laboratory. Parasites were suspected and further confirmation was needed. The patient was a 32-year-old male who had diarrhea; no travel history was known. The objects in Figures A-D were present in moderately high numbers; images were taken at 1000× magnification. What is your diagnosis? Based on what criteria?
Figure A
Figure B
Figure C
Figure D
Case Answer
The objects seen on the smear were white blood cells (WBCs) and red blood cells (RBCs). A report of No Parasites Found (NPF) was given. However, the presence of these cells in a fecal sample may be indicative of another type of infection or condition and further evaluation should be performed by the health care provider. The RBCs stained red (Figures A and C, red arrows) and one displayed the typical “doughnut” or ring shape (Figure C, dark red arrow with black outline). The appearance of the nucleus is a key feature of the WBCs and can be used to distinguish them from amoebae (Figures A and B, black arrows). Sometimes WBCs can be confused with some amoebae as there is size overlap; the WBCs in this case ranged from about 12 to 14 micrometers. Although the size was not given in the case scenario, the RBCs in the specimen could have been used for size comparison.
Figure A
Figure B
Figure C
More on: Artifacts
Images presented in the monthly case studies are from specimens submitted for diagnosis or archiving. On rare occasions, clinical histories given may be partly fictitious.
DPDx is an education resource designed for health professionals and laboratory scientists. For an overview including prevention and control visit www.cdc.gov/parasites/.
- Page last reviewed: August 24, 2016
- Page last updated: August 24, 2016
- Content source:
- Global Health – Division of Parasitic Diseases and Malaria
- Notice: Linking to a non-federal site does not constitute an endorsement by HHS, CDC or any of its employees of the sponsors or the information and products presented on the site.
- Maintained By:
ShareCompartir