Case #174 - February, 2006
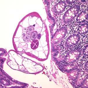
A teenager underwent surgery for a traumatic injury to his abdominal cavity. Apart from the injury, the surgeon noticed some necrosis around the youth’s appendix. A biopsy of that area was obtained and sent to the pathology department. Figures A-D show what was observed on one of the hematoxylin and eosin (H & E) stained slides of tissue section. Figures A, B and D were taken at 200×, and Figure C was taken at 400× magnification, respectively. What is your identification of this additional finding? Based on what criteria?
Figure A
Figure B
Figure C
Figure D
Case Answer
This was a case of enterobiasis, caused by of Enterobius vermicularis (pinworm). The most typical symptom of enterobiasis is perianal pruitus, however many cases are asymptomatic. Enterobiasis is usually diagnosed by microscopic infection of eggs using anal swabs or the “Scotch tape test.” In this case, a diagnosis was made by identifying sections of adult worms found in a biopsy. Diagnostic morphologic features were:
- prominent lateral alae (Figure B, blue arrows).
- a thin cuticle (Figures B and D, red arrows).
- large, vaculoated lateral cords (Figure B, green arrows).
- thick-shelled eggs that were flattened on one side (Figure D, black arrow).
Figure B
Figure D
More on: Enterobiasis
This case was kindly contributed by the South Carolina Department of Health and Environmental Control, Bureau of Laboratories.
Images presented in the monthly case studies are from specimens submitted for diagnosis or archiving. On rare occasions, clinical histories given may be partly fictitious.
DPDx is an education resource designed for health professionals and laboratory scientists. For an overview including prevention and control visit www.cdc.gov/parasites/.
- Page last reviewed: August 24, 2016
- Page last updated: August 24, 2016
- Content source:
- Global Health – Division of Parasitic Diseases and Malaria
- Notice: Linking to a non-federal site does not constitute an endorsement by HHS, CDC or any of its employees of the sponsors or the information and products presented on the site.
- Maintained By:
ShareCompartir