Skip directly to search Skip directly to A to Z list Skip directly to navigation Skip directly to page options Skip directly to site content
bannermenu

Case #165 - October, 2005

A woman went to a local emergency room due to fevers and chills. She reported that she had traveled abroad to Burma and Thailand recently for three weeks. When she traveled abroad previously, she had taken malaria prophylaxis that she received from a travel clinic, but she had not returned to the clinic before her most recent trip. A blood film examination was ordered, and thick and thin smears were made and stained using ENG Scientific Malarial Quick Stain. The hospital sent the smears to the Rhode Island Department of Health Laboratory for identification of species. The RI laboratory sent images captured from the smears to the DPDx telediagnosis assistance for confirmation. Figures A-D were captured at 1000× magnification. What is your diagnosis? Based on what criteria?

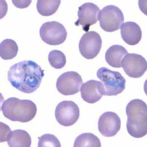
Figure A

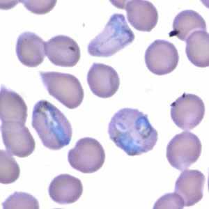
Figure B

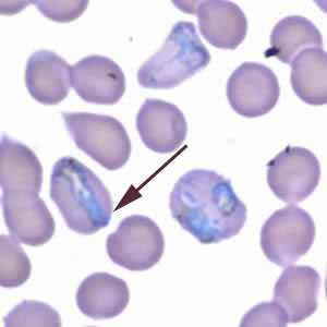
Figure C

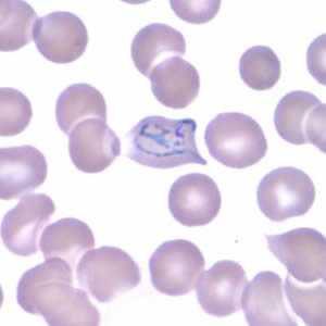
Figure D

Case Answer

This was a case of malaria caused by Plasmodium vivax. Diagnostic features were:

  • a large gametocyte with scattered pigment in a red blood cell that is enlarged greater than 1.5× (Figure A).
  • amoeboid trophozoites in enlarged RBCs (Figures BD). Some are very distorted. In Figure D, there is a trophozoite (black arrow) that may be mistaken for a band-form parasite suggestive of P. malariae, however the red blood cell is reasonably enlarged. In infections with P. malariae, parasitized red blood cells do not become enlarged.

Figure D

Due to the type of stain used, Schüffner’s stippling was not visible, however the other features were sufficient for a diagnosis of P. vivax.

More on: Malaria

This case was kindly contributed by the Rhode Island Department of Health Laboratory.

Images presented in the monthly case studies are from specimens submitted for diagnosis or archiving. On rare occasions, clinical histories given may be partly fictitious.

DPDx is an education resource designed for health professionals and laboratory scientists. For an overview including prevention and control visit www.cdc.gov/parasites/.

  • Page last reviewed: August 24, 2016
  • Page last updated: August 24, 2016
  • Content source:
  • Maintained By:
TOP