Case #160 - July, 2005
A 61-year-old New England resident was visiting his relatives in Georgia for the summer. He had recurring fevers and general weakness and at night he often experienced gastrointestinal discomfort. His relatives took him to a local hospital where he was examined and both blood and stool were collected for testing. An ova and parasite (O & P) examination was ordered for the stool specimen, and blood smears were made from the blood specimen and stained with Wrights-Giemsa. The O & P was negative for parasites. Figure A is taken from an area of the stained thick blood smear, and Figures B-D were from the thin smear. What is your diagnosis? Based on what criteria?
Figure A
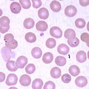
Figure B
Figure C
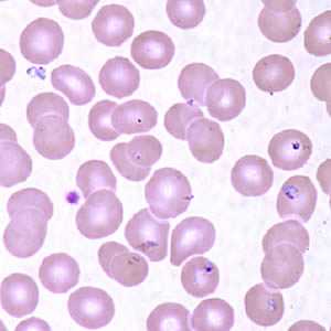
Figure D
Case Answer
This was a case of babesiosis caused by Babesia spp., probably B. microti. Diagnostic features included:
- many ring-form parasites evidenced by the red (chromatin) dots surrounded by blue cytoplasm. Note there is no yellowish pigment visible; pigment may be present in Plasmodium spp. Although the thick smear is useful in determining the presence of parasites, a distinction between Babesia spp. and Plasmodium spp. requires examination of a thin smear to better visualize the morphologic features of the parasites.
- pleomorphic ring-like parasites consistent with Babesia spp. (Figures B–D).
- extraerythrocytic as well as intraerythrocytic parasites (Figure B), a feature commonly seen with Babesia spp.
- vacuolated ring forms (Figure D), another feature consistent with Babesia spp.
Additional testing using serologic and/or molecular techniques are necessary to make a species determination.
More on: Babesiosis
Images presented in the monthly case studies are from specimens submitted for diagnosis or archiving. On rare occasions, clinical histories given may be partly fictitious.
DPDx is an education resource designed for health professionals and laboratory scientists. For an overview including prevention and control visit www.cdc.gov/parasites/.
- Page last reviewed: August 24, 2016
- Page last updated: August 24, 2016
- Content source:
- Global Health – Division of Parasitic Diseases and Malaria
- Notice: Linking to a non-federal site does not constitute an endorsement by HHS, CDC or any of its employees of the sponsors or the information and products presented on the site.
- Maintained By:
ShareCompartir