Skip directly to search Skip directly to A to Z list Skip directly to navigation Skip directly to page options Skip directly to site content
bannermenu

Case #150 - February, 2005

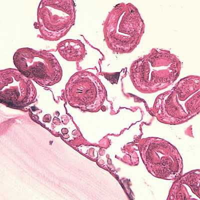
A 28-year-old previously healthy man had a physical examination, including a chest x-ray, as one of his pre-employment requirements. The man had emigrated from Bulgaria approximately one year prior to the examination. The x-ray showed a cyst-like lesion in his right lung. The cyst was later surgically removed, and sent to pathology for identification. The cyst measured 3-4 cm in diameter. The following images were captured from a hematoxylin and eosin (H & E) stained section of the cyst. Figure A was captured at 40× magnification, and Figure B at 200×. What is your diagnosis? Based on what criteria?

Figure A

Figure B

Case Answer

A 28-year-old previously healthy man had a physical examination, including a chest x-ray, as one of his pre-employment requirements. The man had emigrated from Bulgaria approximately one year prior to the examination. The x-ray showed a cyst-like lesion in his right lung. The cyst was later surgically removed, and sent to pathology for identification. The cyst measured 3-4 cm in diameter. The following images were captured from a hematoxylin and eosin (H & E) stained section of the cyst. Figure A was captured at 40× magnification, and Figure B at 200×. What is your diagnosis? Based on what criteria?

Figure A

Figure B

More on: Echinococcosis

Images presented in the monthly case studies are from specimens submitted for diagnosis or archiving. On rare occasions, clinical histories given may be partly fictitious.

DPDx is an education resource designed for health professionals and laboratory scientists. For an overview including prevention and control visit www.cdc.gov/parasites/.

  • Page last reviewed: August 24, 2016
  • Page last updated: August 24, 2016
  • Content source:
  • Maintained By:
TOP