Case #147 - January, 2005
A 75-year-old man had gastrointestinal bleeding while in Nigeria and received 8 units of whole blood that was reportedly imported from India. After his return to the United States two months later, he experienced fever (101º) and chills. Blood smears were submitted to a laboratory; one Plasmodium species was identified but assistance was requested for identification of a possible second species. Figures A-F were observed on a Wright’s-Giemsa stained thin smear. What is your diagnosis and species determination? Based on what criteria?
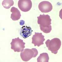
Figure A
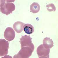
Figure B
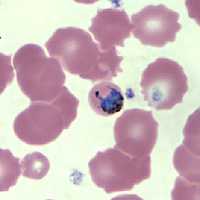
Figure C
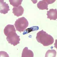
Figure D
Figure E
Figure F
Case Answer
This was a case of mixed infection of malaria caused Plasmodium falciparum and P. malariae. Diagnostic features included:
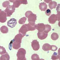
- a typical P. falciparum gametocyte (Figures A and F). A faint outline of the infected red blood cell (RBC) is visible and this presentation is referred to as Laveran’s bib.
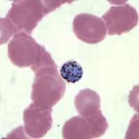
- a typical gametocyte of P. malariae (Figure B) with scattered brown pigment. Note that the size of the infected RBC is about .75% of nearby uninfected RBC’s.
- trophozoites of P. malariae (Figures C and D). These particular organisms showed examples of “basket” forms, a presentation consistent with, but not always seen in, infections caused by P. malariae.
Figure E did not show any parasites, but did demonstrate a macrophage with ingested malarial pigment. In cases where parasitemia is very low, this can be an indication that the patient has malaria. A thick smear could be examined to increase the chances of observing a parasite for confirmation. CDC’s parasitology Reference Laboratory routinely performs PCR analysis on all potential cases of malaria where multiple species of Plasmodium is suspected or diagnosed by microscopy. In this case, PCR confirmed that both species were present.
More on: Malaria
Images presented in the monthly case studies are from specimens submitted for diagnosis or archiving. On rare occasions, clinical histories given may be partly fictitious.
DPDx is an education resource designed for health professionals and laboratory scientists. For an overview including prevention and control visit www.cdc.gov/parasites/.
- Page last reviewed: August 24, 2016
- Page last updated: August 24, 2016
- Content source:
- Global Health – Division of Parasitic Diseases and Malaria
- Notice: Linking to a non-federal site does not constitute an endorsement by HHS, CDC or any of its employees of the sponsors or the information and products presented on the site.
- Maintained By:
ShareCompartir