Skip directly to search Skip directly to A to Z list Skip directly to navigation Skip directly to page options Skip directly to site content
bannermenu

Dipylidium caninum

[Dipylidium caninum]

Causal Agent

Dipylidium caninum (the double-pored dog tapeworm) mainly infects dogs and cats, but is occasionally found in humans.

Life Cycle

lifecycle

Gravid proglottids are passed intact in the feces or emerge from the perianal region of the host The number 1. Subsequently they release typical egg packets The number 2. On rare occasions, proglottids rupture and egg packets are seen in stool samples. Following ingestion of an egg by the intermediate host (larval stages of the dog or cat flea Ctenocephalides spp.), an oncosphere is released into the flea's intestine. The oncosphere penetrates the intestinal wall, invades the insect's hemocoel (body cavity), and develops into a cysticercoid larva The number 3. The larva develops into an adult, and the adult flea harbours the infective cysticercoid The number 4. The vertebrate host becomes infected by ingesting the adult flea containing the cysticercoid The number 5. The dog is the principal definitive host for Dipylidium caninum. Other potential hosts include cats, foxes, and humans (mostly children) The number 6, The number 7. Humans acquire infection by ingesting the cysticercoid contaminated flea. This can be promulgated by close contact between children and their infected pets. In the small intestine of the vertebrate host the cysticercoid develops into the adult tapeworm which reaches maturity about 1 month after infection The number 8. The adult tapeworms (measuring up to 60 cm in length and 3 mm in width) reside in the small intestine of the host, where they each attach by their scolex. They produce proglottids (or segments) which have two genital pores (hence the name "double-pored" tapeworm). The proglottids mature, become gravid, detach from the tapeworm, and migrate to the anus or are passed in the stool The number 1.

Geographic Distribution

Worldwide. Human infections have been reported in Europe, the Philippines, China, Japan, Argentina, and the United States.

Clinical Presentation

Most infections with Dipylidium caninum are asymptomatic. Pets may exhibit behavior to relieve anal pruritis (such as scraping anal region across grass or carpeting). Mild gastrointestinal disturbances may occur. The most striking feature in animals and children consists of the passage of proglottids. These can be found in the perianal region, in the feces, on diapers, and occasionally on floor covering and furniture. The proglottids are motile when freshly passed and may be mistaken for maggots or fly larvae.

Dipylidium caninum egg packets in wet mounts.

 

Dipylidium caninum eggs are round to oval (average size 35 to 40 µm; range 31 to 50 µm by 27 to 48 µm) and contain an oncosphere that has 6 hooklets. Proglottids of D. caninum contain characteristic egg packets that are round to ovoid and contain 5 to 15 or more eggs each.
	Figure A

Figure A: D. caninum egg packet, containing 8 visible eggs, in a wet mount.

	Figure B

Figure B: D. caninum egg packet in a wet mount.

	Figure C

Figure C: D. caninum egg packet in wet mount.

	Figure D

Figure D: D. caninum egg packet in wet mount.

	Figure E

Figure E: D. caninum egg packet in wet mount.

D. caninum eggs in wet mounts under conventional and differential interference contrast microscopy.

 

Dipylidium caninum eggs are round to oval (average size 35 to 40 µm; range 31 to 50 µm by 27 to 48 µm) and contain an oncosphere that has 6 hooklets. Proglottids of D. caninum contain characteristic egg packets that are round to ovoid and contain 5 to 15 or more eggs each.
	Figure A

Figure A: D. caninum eggs clumped together in a wet mount. Image taken at 200x magnification.

	Figure B

Figure B: D. caninum eggs clumped together in a wet mount. Image taken at 400x magnification, hooklets in the some of the eggs are visible.

	Figure C

Figure C: D. caninum eggs clumped together under differential interference contrast microscopy (same eggs as in Image B).

	Figure D

Figure D: Close up of Image C. Note the visible hooklets in three of the eggs.

D. caninum proglottids.

 

Dipylidium caninum proglottids (average mature size 12 mm x 3 mm) have two genital pores, one in the middle of each lateral margin. Proglottids may be passed singly or in chains, and occasionally may be seen dangling from the anus. They are pumpkin seed-shaped when passed and often resemble rice grains when dried.
	Figure A

Figure A: D. caninum proglottid under a dissecting microscope cleared with lactophenol.

	Figure B

Figure B: D. caninum proglottid.

	Figure C

Figure C: D. caninum proglottid partially cleared with lactophenol, showing eggs and egg packets.

	Figure D

Figure D: D. caninum proglottid. The genital pores are clearly visible in the carmine-stained proglottid.

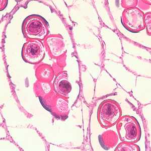
Cross-section of a D. caninum proglottid stained with hematoxylin and eosin (H&E).

 

A Dipylidium caninum proglottid that has been cut into sections and stained with hematoxylin and eosin (H&E), showing the characteristic arrangement of the eggs in packets. Hooks and other internal structures of the eggs may not always be clearly visible with this staining process.
	Figure A

Figure A: Cross-section of a D. caninum proglottid stained with H&E. Image taken at 100x magnification.

	Figure B

Figure B: Cross-section of a D. caninum proglottid stained with H&E. Image taken at 200x magnfication.

	Figure C

Figure C: Cross-section of a D. caninum proglottid stained with H&E. Image taken at 400x magnification

	Figure D

Figure D: Cross-section of a D. caninum proglottid stained with H&E. Image taken at 1000x magnification.

D. caninum scolex.

 

The scolex of Dipylidium caninum is conical-shaped and has four suckers. There is also a retractable rostellum armed with several rings of small spines, used for anchoring into the host's tissue.
	Figure A

Figure A: D. caninum scolex.

Adult tapeworm of D. caninum.

 

Dipylidium caninum adults measure 10-70 cm long. As proglottids mature, they break off from the parent stroblia.
	Figure A

Figure A: Adult tapeworm of D. caninum. The scolex of the worm is very narrow and the proglottids, as they mature, get larger.

Diagnostic Findings

The diagnosis is made by demonstrating the typical proglottids or egg packets in the stool or the environment.

Morphologic comparison with other intestinal parasites

Treatment Information

Praziquantel, adults, 5-10 mg/kg orally in a single-dose therapy. Praziquantel is not approved for treatment of children less than 4 years old but this drug has been used successfully to treat cases of D. caninum infection in children as young as 6 months.

Niclosamide is effective but is unvailable in the United States. No purge or follow-up stool examination is indicated, but appearance of proglottids after therapy is indication for retreatment. The infection is self-limiting in the human host and typically spontaneously clears by 6 weeks.

Praziquantel

Oral praziquantel is available for human use in the United States.

Praziquantel is pregnancy category B. There are no adequate and well-controlled studies in pregnant women. However, the available evidence suggests no difference in adverse birth outcomes in the children of women who were accidentally treated with praziquantel during mass prevention campaigns compared with those who were not. In mass prevention campaigns for which the World Health Organization (WHO) has determined that the benefit of treatment outweighs the risk, WHO encourages the use of praziquantel in any stage of pregnancy. For individual patients in clinical settings, the risk of treatment in pregnant women who are known to have an infection needs to be balanced with the risk of disease progression in the absence of treatment.

Pregnancy Category B: Either animal-reproduction studies have not demonstrated a fetal risk but there are no controlled studies in pregnant women or animal-reproduction studies have shown an adverse effect (other than a decrease in fertility) that was not confirmed in controlled studies in women in the first trimester (and there is no evidence of a risk in later trimesters).

Praziquantel is excreted in low concentrations in human milk. According to WHO guidelines for mass prevention campaigns, the use of praziquantel during lactation is encouraged. For individual patients in clinical settings, praziquantel should be used in breast-feeding women only when the risk to the infant is outweighed by the risk of disease progress in the mother in the absence of treatment.

The safety of praziquantel in children aged less than 4 years has not been established. Many children younger than 4 years old have been treated without reported adverse effects in mass prevention campaigns and in studies of schistosomiasis. For individual patients in clinical settings, the risk of treatment of children younger than 4 years old who are known to have an infection needs to be balanced with the risk of disease progression in the absence of treatment.

 

 

Niclosamide

Niclosamide is NOT available for human use in the United States.

Niclosamide is in pregnancy category B. Data on the use of niclosamide in pregnant women are limited. Niclosamide is not thought to be systemically absorbed. Niclosamide should be used during pregnancy only if the potential benefit justifies the potential risk to the fetus.

Pregnancy Category B: Either animal-reproduction studies have not demonstrated a fetal risk but there are no controlled studies in pregnant women or animal-reproduction studies have shown an adverse effect (other than a decrease in fertility) that was not confirmed in controlled studies in women in the first trimester (and there is no evidence of a risk in later trimesters).

It is not known whether niclosamide is excreted in breast milk, although niclosamide is not thought to be systemically absorbed. The World Health Organization (WHO) classifies niclosamide as compatible with breastfeeding, although data on the use of niclosamide during lactation are limited.

The safety of niclosamide in children has not been established, although niclosamide is not thought to be systemically absorbed. Available evidence suggests that the safety profiles are comparable in children 2 years or older and adults.
References
  • Mackoviak PA. A Neonate with worms. Clin Infect Dis 2008;46:1145, 1786-88.
  • Samkari A, Kiska DL, Riddell SW et al. Dipylidium caninum mimicking recurrent Enterobius vermicularis (pinworm) infection. Clin Pediatr (Phila) 2008;47:397-9.
  • Molina C, Ogburn J, Adegboyega P. Infection by Dipylidium caninum in an infant. Arch Pathol Lab Med 2003;127:e157-9.

 

DPDx is an education resource designed for health professionals and laboratory scientists. For an overview including prevention and control visit www.cdc.gov/parasites/.

  • Page last reviewed: May 3, 2016
  • Page last updated: May 3, 2016
  • Content source:
  • Maintained By:
Top