Skip directly to search Skip directly to A to Z list Skip directly to navigation Skip directly to page options Skip directly to site content
bannermenu

Ascariasis

[Ascaris lumbricoides]

Causal Agents

Ascaris lumbricoides is the largest nematode (roundworm) parasitizing the human intestine. (Adult females: 20 to 35 cm; adult male: 15 to 30 cm.)


Life Cycle:

Life cycle of ascariasis

Adult worms The Number 1. live in the lumen of the small intestine. A female may produce approximately 200,000 eggs per day, which are passed with the feces The Number 2. Unfertilized eggs may be ingested but are not infective. Fertile eggs embryonate and become infective after 18 days to several weeks The Number 3, depending on the environmental conditions (optimum: moist, warm, shaded soil). After infective eggs are swallowed The Number 4, the larvae hatch The Number 5, invade the intestinal mucosa, and are carried via the portal, then systemic circulation to the lungs The Number 6. The larvae mature further in the lungs (10 to 14 days), penetrate the alveolar walls, ascend the bronchial tree to the throat, and are swallowed The Number 7. Upon reaching the small intestine, they develop into adult worms . Between 2 and 3 months are required from ingestion of the infective eggs to oviposition by the adult female. Adult worms can live 1 to 2 years.

Geographic Distribution:

The most common human helminthic infection. Worldwide distribution. Highest prevalence in tropical and subtropical regions, and areas with inadequate sanitation. Occurs in rural areas of the southeastern United States.

Clinical Presentation

Although infections may cause stunted growth, adult worms usually cause no acute symptoms. High worm burdens may cause abdominal pain and intestinal obstruction. Migrating adult worms may cause symptomatic occlusion of the biliary tract or oral expulsion. During the lung phase of larval migration, pulmonary symptoms can occur (cough, dyspnea, hemoptysis, eosinophilic pneumonitis - Loeffler's syndrome).

Ascaris lumbricoides unfertilized eggs.

 

Fertilized and unfertilized Ascaris lumbricoides eggs are passed in the stool of the infected host. Fertilized eggs are are rounded and have a thick shell with an external mammillated layer that is often stained brown by bile. In some cases, the outer layer is absent (known as decorticated eggs). Fertile eggs range from 45 to 75 µm in length.  Unfertilized eggs are elongated and larger than fertile eggs (up to 90 µm in length). Their shell is thinner and their mammillated layer is more variable, either with large protuberances or practically none. Unfertile eggs contain mainly a mass of refractile granules.
	Figure A

Figure A: Unfertilized egg of A. lumbricoides. Note the prominent mammillations on the outer layer.

	Figure B

Figure B: Unfertilized egg of A. lumbricoides in an unstained wet mount, 200x magnification.

	Figure C

Figure C: Unfertilized egg of A. lumbricoides in an unstained wet mount of stool.

	Figure D

Figure D: Unfertilized egg of A. lumbricoides in a wet mount of stool. Note this specimen lacks the mammillated layer (decorticated).

	Figure E

Figure E: Infertile, decorticated egg of Ascaris lumbricoides. Image courtesy of The Leiden University Medical Center, The Netherlands.

	Figure F

Figure F: Infertile, decorticated egg of Ascaris lumbricoides. Image courtesy of The Leiden University Medical Center, The Netherlands.

A. lumbricoides fertilized eggs.

	Figure A

Figure A: Fertilized egg of A. lumbricoides in unstained wet mounts of stool, with embryos in the early stage of development.

	Figure B

Figure B: Fertilized egg of A. lumbricoides in unstained wet mounts of stool, with embryos in the early stage of development.

	Figure C

Figure C: Fertilized egg of A. lumbricoides in an unstained wet mount of stool, undergoing early stages of cleavage. Image taken at 200x magnification.

	Figure D

Figure D: Fertilized egg of A. lumbricoides in an unstained wet mount of stool.

	Figure E

Figure E: Fertilized egg of A. lumbricoides in an unstained wet mount of stool, 200x magnification. A larva is visible in the egg.

	Figure F

Figure F: Fertilized egg of A. lumbricoides in an unstained wet mount of stool.

A. lumbricoides fertilized, decorticated eggs.

	Fgiure A

Figure A: A. lumbricoides decorticated, fertile egg in wet mounts, 200x magnification.

	Figure B

Figure B: A. lumbricoides decorticated, fertile egg in wet mounts, 200x magnification.

	Figure C

Figure C: A. lumbricoides decorticated, fertile egg in a wet mount, 200x magnification. The embryo has advanced cleavage.

	Figure D

Figure D: The same egg as in Figure C, but at 400x magnification.

Larvae of A. lumbricoides hatching from eggs.

 

Larvae of Ascaris lumbricoides hatching from eggs.
	Figure A

Figure A: Larva of A. lumbricoides hatching from an egg.

	Figure B

Figure B: Larva of A. lumbricoides hatching from an egg.

Adults of A. lumbricoides.

 

Adults of Ascaris lumbricoides are large roundworms. Females measure 20-35 cm long with a straightened tail; males are smaller at 15-31 cm and tend to have a curved tail. Adults of both sexes possess three 'lips' at the anterior end of the body.
	Figure A

Figure A: Adult female A. lumbricoides.

	Figure B

Figure B: Adult female A. lumbricoides. Image courtesy of the Orange County Public Health Laboratory, Santa Ana, CA.

	Figure C

Figure C: Close-up of the anterior end of an adult A. lumbricoides. Note the three 'lips.' Image courtesy of the Orange County Public Health Laboratory, Santa Ana, CA.

	Figure D

Figure D: Posterior end of a male A. lumbricoides, showing the curled tail.

	Figure E

Figure E: Cross-section of an adult female A. lumbricoides, stained with hematoxylin and eosin (H&E). Note the presence of the prominent muscle cells (MU), gravid uterus (UT), intestine (IN) and coiled ovary (OV).

	Figure F

Figure F: Cross-section of the cuticle of an adult A. lumbricoides, stained with H&E. Shown here are the cuticle (CU), and immediately below the cuticle, the thin hypodermis (HY). Also shown are the prominent muscle cells (MU) and one of the lateral chords (LC).

A. lumbricoides in tissue specimens.

 

Ascaris lumbricoides in tissue specimens, stained with hematoxylin and eosin (H&E).
	Figure A

Figure A: L3 larvae of A. lumbricoides in lung tissue, stained with H&E. Image taken at 400x magnification.

	Figure B

Figure B: Higher magnification (1000x) of the specimen in Figure A. Note the prominent alae (AL), intestine (IN) and excretory ducts (EC).

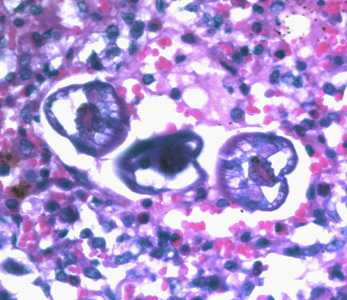
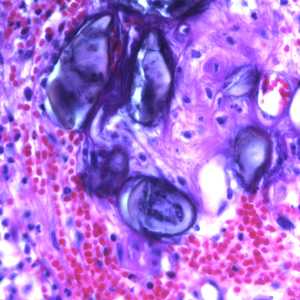
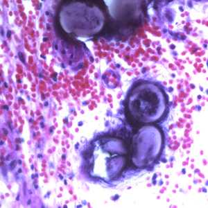
	Figure C

Figure C: Eggs of A. lumbricoides in an appendix biopsy, stained with H&E. This image was taken at 200x magnification.

	Figure D

Figure D: Eggs of A. lumbricoides in an appendix biopsy, stained with H&E. This image was taken at 400x magnification.

	Figure E

Figure E: Eggs of A. lumbricoides in an appendix biopsy, stained with H&E. Image taken at 400x magnification.

Laboratory Diagnosis

Morphologic Diagnosis

Microscopic identification of eggs in the stool is the most common method for diagnosing intestinal ascariasis. The recommended procedure is as follows:

  • Collect a stool specimen.
  • Fix the specimen in 10% formalin.
  • Concentrate using the formalin–ethyl acetate sedimentation technique
  • Examine a wet mount of the sediment.

Where concentration procedures are not available, a direct wet mount examination of the specimen is adequate for detecting moderate to heavy infections. For quantitative assessments of infection, various methods such as the Kato-Katz can be used. Larvae can be identified in sputum or gastric aspirate during the pulmonary migration phase (examine formalin-fixed organisms for morphology). Adult worms are occasionally passed in the stool or through the mouth or nose and are recognizable by their macroscopic characteristics.

Treatment Information

Ascariasis is treated with albendazole, mebendazole, or ivermectin. Dosage is the same for children as for adults. Albendazole should be taken with food. Ivermectin should be taken on an empty stomach with water. Albendazole is not FDA-approved for treating ascariasis, and the safety of ivermectin for treating children who weigh less than 15 kg has not been established.

Drug Dosage
Albendazole 400 mg orally once
Mebendazole 100 mg orally twice daily for 3 days or 500 mg orally once
Ivermectin 150-200 mcg/kg orally once

Albendazole

Oral albendazole is available for human use in the United States.

Albendazole is pregnancy category C. Data on the use of albendazole in pregnant women are limited, though the available evidence suggests no difference in congenital abnormalities in the children of women who were accidentally treated with albendazole during mass prevention campaigns compared with those who were not. In mass prevention campaigns for which the World Health Organization (WHO) has determined that the benefit of treatment outweighs the risk, WHO allows use of albendazole in the 2nd and 3rd trimesters of pregnancy. However, the risk of treatment in pregnant women who are known to have an infection needs to be balanced with the risk of disease progression in the absence of treatment.

Pregnancy Category C: Either studies in animals have revealed adverse effects on the fetus (teratogenic or embryocidal, or other) and there are no controlled studies in women or studies in women and animals are not available. Drugs should be given only if the potential benefit justifies the potential risk to the fetus.

It is not known whether albendazole is excreted in human milk. Albendazole should be used with caution in breastfeeding women.

The safety of albendazole in children less than 6 years old is not certain. Studies of the use of albendazole in children as young as one year old suggest that its use is safe. According to WHO guidelines for mass prevention campaigns, albendazole can be used in children as young as 1 year old. Many children less than 6 years old have been treated in these campaigns with albendazole, albeit at a reduced dose.

Mebendazole

Mebendazole is available in the United States only through compounding pharmacies.

Mebendazole is in pregnancy category C. Data on the use of mebendazole in pregnant women are limited. The available evidence suggests no difference in congenital anomalies in the children of women who were treated with mebendazole during mass treatment programs compared with those who were not. In mass treatment programs for which the World Health Organization (WHO) has determined that the benefit of treatment outweighs the risk, WHO allows use of mebendazole in the 2nd and 3rd trimesters of pregnancy. The risk of treatment in pregnant women who are known to have an infection needs to be balanced with the risk of disease progression in the absence of treatment.

Pregnancy Category C: Either studies in animals have revealed adverse effects on the fetus (teratogenic or embryocidal, or other) and there are no controlled studies in women or studies in women and animals are not available. Drugs should be given only if the potential benefit justifies the potential risk to the fetus.

It is not known whether mebendazole is excreted in breast milk. The WHO classifies mebendazole as compatible with breastfeeding and allows the use of mebendazole in lactating women.

The safety of mebendazole in children has not been established. There is limited data in children age 2 years and younger. Mebendazole is listed as an intestinal antihelminthic medicine on the WHO Model List of Essential Medicines for Children, intended for the use of children up to 12 years of age.

Ivermectin

Oral ivermectin is available for human use in the United States.

Ivermectin is pregnancy category C. Data on the use of ivermectin in pregnant women are limited, though the available evidence suggests no difference in congenital abnormalities in the children of women who were accidentally treated during mass prevention campaigns with ivermectin compared with those who were not. The World Health Organization (WHO) excludes pregnant women from mass prevention campaigns that use ivermectin. However, the risk of treatment in pregnant women who are known to have an infection needs to be balanced with the risk of disease progression in the absence of treatment.

Pregnancy Category C: Either studies in animals have revealed adverse effects on the fetus (teratogenic or embryocidal, or other) and there are no controlled studies in women or studies in women and animals are not available. Drugs should be given only if the potential benefit justifies the potential risk to the fetus.

Ivermectin is excreted in low concentrations in human milk. Ivermectin should be used in breast-feeding women only when the risk to the infant is outweighed by the risk of disease progress in the mother in the absence of treatment.

The safety of ivermectin in children who weigh less than 15kg has not been demonstrated. According to the WHO guidelines for mass prevention campaigns, children who are at least 90 cm tall can be treated safely with ivermectin. The WHO growth standard curves show that this height is reached by 50% of boys by the time they are 28 months old and by 50% of girls by the time they are 30 months old, many children less than 3 years old been safely treated with ivermectin in mass prevention campaigns, albeit at a reduced dose.

 

 

DPDx is an education resource designed for health professionals and laboratory scientists. For an overview including prevention and control visit www.cdc.gov/parasites/.

  • Page last reviewed: October 17, 2016
  • Page last updated: October 17, 2016
  • Content source:
  • Maintained By:
Top