Skip directly to search Skip directly to A to Z list Skip directly to navigation Skip directly to page options Skip directly to site content

Symptoms, Diagnosis, and Treatment

Anaplasmosis is a disease caused by the bacterium Anaplasma phagocytophilum. This pathogen is transmitted to humans by the bite of an infected tick. The black-legged tick (Ixodes scapularis) is the vector of A. phagocytophilum in the northeast and upper midwestern United States. The western black-legged tick (Ixodes pacificus) is the primary vector in Northern California. The first symptoms of anaplasmosis typically begin within 1-2 weeks after the bite of an infected tick. A tick bite is usually painless, and some patients who develop anaplasmosis do not remember being bitten. The following is a list of symptoms commonly seen with this disease. However, it is important to note that few people with the disease will develop all symptoms, and the number and combination of symptoms varies greatly from person to person.

  • Fever
  • Headache
  • Muscle pain
  • Malaise
  • Chills
  • Nausea / Abdominal pain
  • Cough
  • Confusion
  • Rash (rare with anaplasmosis)

Anaplasmosis can be a serious illness that can be fatal if not treated correctly, even in previously healthy people. Severe clinical presentations may include difficulty breathing, hemorrhage, renal failure or neurological problems. The estimated case fatality rate (i.e., the proportion of persons who die as a result of their infection) is less than 1%. Patients who are treated early may recover quickly on outpatient medication, while those who experience a more severe course may require intravenous antibiotics, prolonged hospitalization or intensive care.

 Top of Page

Rash

Rash is rarely reported in patients with anaplasmosis and the presence of a rash may signify that the patient has a coinfection with the pathogen that causes Lyme disease or another tickborne disease, such as Rocky Mountain Spotted Fever.

 Top of Page

Immune-compromised Individuals

The severity of anaplasmosis may depend in part on the immune status of the patient. Persons with compromised immunity caused by immunosuppressive therapies (e.g., corticosteroids, cancer chemotherapy, or longterm immunosuppressive therapy following organ transplant), HIV infection, or splenectomy appear to develop more severe disease, and case-fatality rates for these individuals are characteristically higher than case-fatality rates reported for the general population.

 Top of Page

Blood Transfusion and Organ Transplant Risks Associated with Anaplasma species

Because A. phagocytophilum infects the white blood cells and circulates in the blood stream, this pathogen may pose a risk to be transmitted through blood transfusions. Anaplasma phagocytophilum has been shown to survive for more than a week in refrigerated blood. Several cases of anaplasmosis have been reported associated with the transfusion of packed red blood cells donated from asymptomatic or acutely infected donors. Patients who develop anaplasmosis within a month of receiving a blood transfusion or solid organ transplant should be reported to state health officials for prompt investigation. Use of leukoreduced blood products may theoretically decrease the risk of transfusion-associated transmission of these pathogens. However, the filtration process does not remove all leukocytes or bacteria not associated with leukocytes from leukoreduced blood. Therefore, while this process may reduce the risk of transmission, it does not eliminate it completely.

 Top of Page

Physician Diagnosis

There are several aspects of anaplasmosis that make it challenging for healthcare providers to diagnose and treat. The symptoms vary from patient to patient and can be difficult to distinguish from other diseases. Treatment is more likely to be effective if started early in the course of disease. Diagnostic tests based on the detection of antibodies will frequently appear negative in the first 7-10 days of illness.

For this reason, healthcare providers must use their judgment to treat patients based on clinical suspicion alone. Healthcare providers may find important information in the patient’s history and physical examination that may aid clinical diagnosis. Information such as recent tick bites, exposure to areas where ticks are likely to be found, or history of recent travel to areas where anaplasmosis is endemic can be helpful in making the diagnosis. The healthcare provider should also look at routine blood tests, such as a complete blood cell count or a chemistry panel. Clues such as a low platelet count (thrombocytopenia), low white blood cell count (leukopenia), or elevated liver enzyme levels are helpful predictors of anaplasmosis, but may not be present in all patients. After a suspect diagnosis is made on clinical suspicion and treatment has begun, specialized laboratory testing should be used to confirm the diagnosis of anaplasmosis.

The diagnosis of anaplasmosis must be made based on clinical signs and symptoms, and can later be confirmed using specialized confirmatory laboratory tests. Treatment should never be delayed pending the receipt of laboratory test results, or be withheld on the basis of an initial negative laboratory result. 

 Top of Page

Laboratory Detection

During the acute phase of illness, a sample of whole blood can be tested by polymerase chain reaction (PCR) assay to determine if a patient has anaplasmosis. This method is most sensitive in the first week of illness, and rapidly decreases in sensitivity following the administration of appropriate antibiotics. Although a positive PCR result is helpful, a negative result does not completely rule out the diagnosis, and treatment should not be with held due to a negative result.

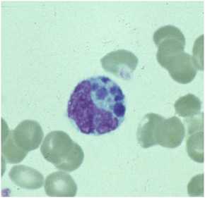
During the first week of illness a microscopic examination of blood smears (known as a peripheral blood smear) may reveal morulae (microcolonies of anaplasma) in the cytoplasm of white blood cells in up to 20% of patients. During A. phagocytophilum infection, morulae are most frequently observed in granulocytes. However, the observance of morulae in a particular cell type cannot conclusively identify the infecting species. Culture isolation of A. phagocytophilum is only available at specialized laboratories; routine hospital blood cultures cannot detect the organism.

Figure 1: Morulae detected in a granulocyte on a peripheral blood smear, associated with A. phagocytophilum infection.

A granulocyte on a peripheral blood smear.

A granulocyte on a peripheral blood smear.

When a person develops anaplasmosis, their immune system produces antibodies to A. phagocytophilum, with detectable antibody titers usually observed by 7-10 days after illness onset. It is important to note that a negative test during the first week of illness does not rule out anaplasmosis as a cause of illness.

The gold standard serologic test for diagnosis of anaplasmosis is the indirect immunofluorescence assay (IFA) using A. phagocytophilum antigen, performed on paired serum samples to demonstrate a significant (four-fold) rise in antibody titers. The first sample should be taken as early in the disease as possible, preferably in the first week of symptoms, and the second sample should be taken 2 to 4 weeks later. In most cases of anaplasmosis, the first IgG IFA titer is typically low, or “negative,” and the second typically shows a significant (four-fold) increase in IgG antibody levels. IgM antibodies usually rise at the same time as IgG near the end of the first week of illness and remain elevated for months or longer. Also, IgM antibodies are less specific than IgG antibodies and more likely to result in a false positive. For these reasons, physicians requesting IgM serologic titers should also request a concurrent IgG titer.

Serologic tests based on enzyme immunoassay (EIA) technology are available from some commercial laboratories. However, EIA tests are qualitative rather than quantitative, meaning they only provide a positive/negative result, and are less useful to measure changes in antibody titers between paired specimens. Furthermore, some EIA assays rely on the evaluation of IgM antibody alone, which may have a higher frequency of false positive results.

Antibodies to A. phagocytophilum may remain elevated for months or longer after the disease has resolved, or may be detected in persons who were previously exposed to antigenically related organisms. Between 5-10% of currently healthy people in some areas may have elevated antibody titers due to past exposure to A. phagocytophilum or similar organisms. Therefore, if only one sample is tested it can be difficult to interpret, while paired samples taken weeks apart demonstrating a significant (four-fold) rise in antibody titer provides the best evidence for a correct diagnosis of anaplasmosis.

For more in-depth information about the diagnosis of anaplasmosis.

 Top of Page

Treatment

Doxycycline is the first line treatment for adults and children of all ages and should be initiated immediately whenever anaplasmosis is suspected.

Use of antibiotics other than doxycycline or other tetracyclines has been associated with a higher risk of fatal outcome for some rickettsial infections. Doxycycline is most effective at preventing severe complications from developing if it is started early in the course of disease. Therefore, treatment must be based on clinical suspicion alone and should always begin before laboratory results return.

If the patient is treated within the first 5 days of the disease, fever generally subsides within 24-72 hours.  In fact, failure to respond to doxycycline suggests that the patient’s condition might not be due to anaplasmosis. Severely ill patients may require longer periods before their fever resolves. Resistance to doxcycline or relapses in symptoms after the completion of the recommended course have not been documented.

Recommended Dosage
Doxycycline is the first line treatment for adults and children of all ages:

  • Adults: 100 mg every 12 hours
  • Children under 45 kg (100 lbs): 2.2 mg/kg body weight given twice a day

Patients should be treated for at least 3 days after the fever subsides and until there is evidence of clinical improvement. Standard duration of treatment is 7 to 14 days. Some patients may continue to experience headache, weakness and malaise for weeks after adequate treatment.

Treating children

The use of doxycycline to treat suspected anaplasmosis in children is standard practice recommended by both CDC and the AAP Committee on Infectious Diseases. Unlike older generations of tetracyclines, the recommended dose and duration of medication needed to treat anaplasmosis has not been shown to cause staining of permanent teeth, even when five courses are given before the age of eight. Healthcare providers should use doxycycline as the first-line treatment for suspected anaplasmosis in patients of all ages.

Other Treatments

In cases of life threatening allergies to doxycycline and in some pregnant patients for whom the clinical course of anaplasmosis appears mild, physicians may need to consider alternate antibiotics. Although recommended as a second-line therapeutic alternative to treat Rocky Mountain Spotted Fever , chloramphenicol is not recommended for the treatment of anaplasmosis, as studies have shown a lack of efficacy. Rifampin has been used successfully in several pregnant women with anaplasmosis, and studies suggest that this drug appears effective against Anaplasma species. However, rifampin is not effective in treating RMSF, a disease that may be confused with anaplasmosis. Healthcare providers should be cautious when exploring treatments other than doxycycline, which is highly effective in treating both. Other antibiotics, including broad spectrum antibiotics are not considered highly effective against A. phagocytophilum, and the use of sulfa drugs during acute illness may worsen the severity of infection.

Prophylaxis (Preventive Treatment)

Antibiotic treatment following a tick bite is not recommended as a means to prevent anaplasmosis. There is no evidence this practice is effective, and this may simply delay onset of disease. Instead, persons who experience a tick bite should be alert for symptoms suggestive of tickborne illness and consult a physician if fever, rash, or other symptoms of concern develop.

For more in-depth information about treatment.

 Top of Page

Other Considerations

The clinical presentation for anaplasmosis can resemble other tickborne diseases, such as Rocky Mountain Spotted Fever and ehrlichiosis. Similar to anaplasmosis, these infections respond well to treatment with doxycycline. Healthcare providers should order diagnostic tests for additional agents if the clinical history and geographic association warrant. For more in-depth about other similar tickborne diseases.

 Top of Page

TOP