Recent Epi-X Cases
Epi-X Vital to H1N1 Pandemic Response

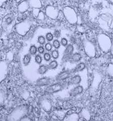
This colorized transmission electron micrograph (TEM) revealed the presence of a number of Novel H1N1 virus virions in this tissue culture sample.
A recent example of the value of Epi-X during an emerging public health event is the 2009 H1N1 pandemic. Reports on Epi-X were among the earliest notifications of the H1N1 virus and Epi-X was integral to the ongoing CDC response to this pandemic. On April 6, 2009, Epi-X reported cases of acute respiratory illness in Veracruz, Mexico, an outbreak that was subsequently identified as a novel form of influenza A (H1N1). Through March 15, 2010, over 2,200 reports related to H1N1 were posted on Epi-X. Feedback from Epi-X users about Epi-X’s role in the response highlighted how crucial Epi-X is both in the early days of an outbreak and during the following, days, weeks, or months of a response.
Users of Epi-X provided extensive positive feedback about information provided during the H1N1 pandemic. An official from one local health department stated that their jurisdiction "decided to use Epi-X preferentially, since CDC guidelines and data seemed to be available there first. The regularly updated Key Points were useful, as well as notices when new information was being posted to relevant CDC websites." Another user found "Epi-X most valuable in allowing me to access H1N1 Vaccine Adverse Event Reporting System (VAERS) reports specific for my county, during the H1N1 vaccination campaign. It was also great to have one location (Epi-X) where all of the CDC H1N1-related updates were posted as they were published."
Swift Secure Investigation Saves Lives
Some public health outbreaks are not as high-profile and global in impact as the H1N1 pandemic, but illustrate even more emphatically Epi-X’s crucial role in resolving a puzzling heath problem quickly. In late 2007, submissions on Epi-X were the first reports of a neurologic illness of unknown origin among swine-processing workers. On December 3, 2007, Minnesota health officials first submitted a report on Epi-X detailing 11 cases of this syndrome among workers at a pork processing plant and requested information about similar cases nationwide.
The cases received widespread media coverage, and similar cases were identified in other states. It turned out that cases only occurred at two other pork processing plants among workers that used a similar method to remove pork brains with compressed air guns. In April 2008, scientific and mainstream media began reporting the illness as a newly discovered syndrome. Workers experienced inflammation of the spinal cord, and multiple neurological symptoms. Symptoms became worse over time and affected the immune system.
Since the initial reporting of the syndrome and sharing of information among health departments nationwide via Epi-X, the three pork processing plants that used this technique have stopped this method of pork brain removal, and no new cases were reported after 24 months of follow up. Quick reporting and sharing of information among epidemiologists nationwide on Epi-X can – and does — lead to quick identification of sources of illness and elimination of practices and processes that spread disease!
Protecting Eyesight for Contact Lens Wearers

CDC lab technician making notations on culture plates that grew Fusarium fungal colonies from a pair of contact lenses. The contact lenses are still visible on the plate.
In 2006, an even larger scale outbreak occurred, and reporting and information sharing on Epi-X led to a quick discovery of the source of Fusarium keratitis infection (a fungal infection of the cornea that can lead to blindness) among a number of contact lens wearers. On March 10, 2006, Epi-X posted reports submitted by New Jersey health officials, who requested information about similar cases nationwide. In early April, largely because of the Epi-X posting, 109 cases were identified in multiple states. This number increased to 164 confirmed and 32 possible cases of Fusarium keratitis infection in 33 states and territories before the end of the outbreak. On April 9, an MMWR Dispatch noted the role of Epi-X in getting to the bottom of the outbreak and suggested a possible link to a contact lens solution. On May 15, the implicated product was recalled by the manufacturer and cases of the Fusarium keratitis infection rapidly and dramatically declined.
Protecting Americans at Home and Abroad
Epi-X’s collaboration with CDC’s Division of Global Migration and Quarantine (DGMQ) has resulted in a number of reports that help jurisdictions identify travel-related exposures to disease. These reports are securely transmitted to affected states and provide information to these states on travelers who may have been exposed to communicable diseases during travel. This collaboration with the DGMQ eManifest system allows state public health officials to know who they need to contact in their jurisdictions to perform case identification assessments. The secure nature of the communication is of key importance because the reports contain personally identifiable information to allow for the rapid identification and contact of those travelers.
Automation of the process, a collaboration between DQMQ by the Epi-X information technology staff, reduced the weekly workload for posting these reports from approximately 30 manual hours to minutes, and resulted in a Director’s Recognition Award in 2009 from the then National Center for Preparedness, Detection and Control of Infectious Diseases.
A total of 2,193 eManifest reports have been submitted since the Aug 2009 award. Examples of reported exposures include tuberculosis, measles, and rubella. Swift identification of those exposed who may develop clinical disease is vital and the Epi-X/eManifest partnership allows for quick identification to happen efficiently.
- Page last reviewed: March 19, 2014
- Page last updated: March 19, 2014
- Content source:
ShareCompartir