Physiology
Textbooks
Boundless Anatomy and Physiology
Skeletal System
Bone Formation
Physiology Textbooks Boundless Anatomy and Physiology Skeletal System Bone Formation
Physiology Textbooks Boundless Anatomy and Physiology Skeletal System
Physiology Textbooks Boundless Anatomy and Physiology
Physiology Textbooks
Physiology
Concept Version 15
Created by Boundless

Embryonic and Fetal Bone Formation

During fetal development, bone tissue is created through intramembranous ossification and endochondral ossification.

Learning Objective

  • Differentiate intramembranous ossification from enchondral ossification in embryonic development


Key Points

    • Intramembranous ossification occurs during fetal development and does not involve cartilage.
    • Embryologic mesenchymal cells differentiate into osteogenic cells that direct bone growth from spicules to trabeculae, to woven bone, and finally to lamellar bone.
    • Endochondral ossification creates fetal long bones from a cartilage template.
    • Osteoblasts are involved in both intramembranous and endochondral ossification.
    • When osteoblasts become trapped in the matrix they differentiate into osteocytes.
    • Osteons are units or principal structures of compact bone.

Terms

  • endochondral ossification

    A process that occurs during fetal development by which bone tissue is created using a cartilage template.

  • intramembranous ossification

    A process that occurs during fetal development to produce bone tissue without a cartilage template. The membrane that occupies the place of the future bone resembles connective tissue and ultimately forms the periosteum, or outer bone layer.

  • canaliculi

  • osteon

    Any of the central canals, and surrounding bony layers, found in compact bone.


Full Text

Fetal Development

Embryonic/fetal development proceeds from rostral (nose and mouth area) to caudal (posterior). The skull and vertebral column are produced by intramembranous ossification. As development proceeds down the body axis, the long bones of the arms and legs are produced by endochondral ossification. 

Intramembranous ossification is one of the two essential processes during fetal development of the mammalian skeletal system. It is the process by which bone tissue is created. 

Unlike the other process of bone creation— endochondral ossification—intramembranous ossification does not involve cartilage. It is also an essential process during the natural healing of bone fractures and the rudimentary formation of the bones of the head.

The first step in the process is the formation of bone spicules (aggregates of bony matrix) that eventually fuse with each other and become trabeculae. The periosteum is formed and bone growth continues at the surface of trabeculae. 

Much like spicules, the increasing growth of trabeculae result in interconnection, and this network is called woven bone. Eventually, woven bone is replaced by lamellar bone.

Embryonic mesenchymal cells (MSC) condense into layers of vascularized primitive connective tissue. Certain mesenchymal cells group together, usually near or around blood vessels, and differentiate into osteogenic cells that deposit bone matrix constitutively. Separate mesenchymal cells differentiate into osteoblasts, which line up along the surface of the spicule and secrete more osteoid, increasing the size of the spicule.

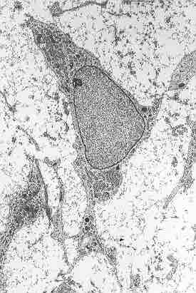
Mesenchymal stem cell

Mesenchymal stem cells initiate the process of intramembranous ossification.

This is a micrograph of mesenchymal stem cells, which initiate the process of intramembranous ossification.

When osteoblasts become trapped in the matrix that they secrete, they differentiate into osteocytes. Osteoblasts continue to line up on the surface, which increases their size. As growth continues, trabeculae become interconnected and woven bone is formed. 

The primary center of ossification is the area where bone growth occurs between the periosteum and the bone. 

Osteoblasts

This figure shows osteoblasts creating rudimentary bone tissue.

This figure shows osteoblasts creating rudimentary bone tissue. The osteoblasts are seen lining up on the surface, which increases their size. As growth continues, trabeculae become interconnected and woven bone is formed.

Osteons are units or principal structures of compact bone. During the formation of bone spicules, cytoplasmic processes from osteoblasts interconnect. This becomes the canaliculi of osteons. 

Since bone spicules tend to form around blood vessels, the perivascular space is greatly reduced as the bone continues to grow. When replacement with compact bone occurs, this blood vessel becomes the central canal of the osteon.

Endochondral Ossification

Endochondral ossification is the other essential bone creation process during fetal development of the mammalian skeletal system. Unlike intramembranous ossification, cartilage is present during endochondral ossification. It is also an essential process during the rudimentary formation of long bones, the growth of the length of long bones, and the natural healing of bone fractures.

Cartilage

Hyaline cartilage showing chondrocytes and organelles, lacunae and matrix.

This is a photo of a hyaline cartilage that shows chondrocytes and organelles, lacunae, and matrix.

The first site of ossification occurs in the primary center of ossification, which is in the middle of diaphysis (shaft). The perichondrium becomes the periosteum. The periosteum contains a layer of undifferentiated cells (osteoprogenitor cells) that later become osteoblasts.

The osteoblasts secrete osteoid against the shaft of the cartilage model (appositional growth). This serves as support for the new bone. Chondrocytes in the primary center of ossification begin to grow (hypertrophy). They stop secreting collagen and other proteoglycans and begin secreting alkaline phosphatase, an enzyme essential for mineral deposition. Then calcification of the matrix occurs.

[ edit ]
Edit this content
Prev Concept
Chemical Composition of Bone
Postnatal Bone Growth
Next Concept
Subjects
  • Accounting
  • Algebra
  • Art History
  • Biology
  • Business
  • Calculus
  • Chemistry
  • Communications
  • Economics
  • Finance
  • Management
  • Marketing
  • Microbiology
  • Physics
  • Physiology
  • Political Science
  • Psychology
  • Sociology
  • Statistics
  • U.S. History
  • World History
  • Writing

Except where noted, content and user contributions on this site are licensed under CC BY-SA 4.0 with attribution required.