Concept
Version 15
Created by Boundless
Embryonic and Fetal Bone Formation

Osteoblasts
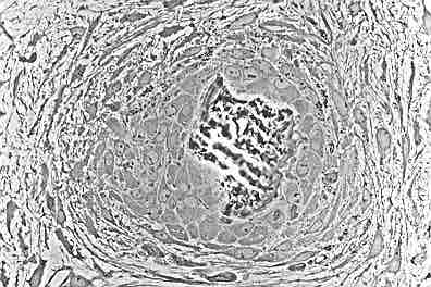
This figure shows osteoblasts creating rudimentary bone tissue.
This figure shows osteoblasts creating rudimentary bone tissue. The osteoblasts are seen lining up on the surface, which increases their size. As growth continues, trabeculae become interconnected and woven bone is formed.
Source
Boundless vets and curates high-quality, openly licensed content from around the Internet. This particular resource used the following sources:
"Osteoblasts."
http://upload.wikimedia.org/wikipedia/commons/b/b8/Bony_nidus_3.jpg
Wikimedia
CC BY-SA 3.0.