Microbiology
Textbooks
Boundless Microbiology
Viruses
Classifying Viruses
Microbiology Textbooks Boundless Microbiology Viruses Classifying Viruses
Microbiology Textbooks Boundless Microbiology Viruses
Microbiology Textbooks Boundless Microbiology
Microbiology Textbooks
Microbiology
Concept Version 5
Created by Boundless

Medical Importance of Viruses

Viruses are obligate intracellular parasites that hijack a host cell's machinery to replicate, thereby causing disease.

Learning Objective

  • Describe the fundamental characteristics of viruses


Key Points

    • Viruses multiply by taking control of the host cell's genetic material and regulating the synthesis and assembly of new viruses.
    • Viruses are able to infect a host cell and cause acute diseases or alter its genetic material to cause chronic diseases such as cancer.
    • Most viral infections can resolve in weeks but others are the cause of more serious, debilitating and sometimes fatal diseases.

Terms

  • vaccination

    inoculation with a vaccine in order to protect a particular disease or strain of disease.

  • eradication

    the act of plucking up by the roots; a rooting out; extirpation; utter destruction.


Full Text

Viruses are extremely diverse and have evolved to infect nearly all life forms. Amid this diversity, viruses with similar genome organizations exhibit major conserved themes in their replication strategies. Once inside a cell, all viruses must uncoat, replicate, and transcribe their genomes, and then repackage their genomes into viral progeny that are released from cells. RNA viruses in particular must coordinate the switch between plus and minus strand synthesis and between replication and transcription while protecting their genomes from cellular nucleases. Because of the conserved nature of a virus's intracellular life cycle, fundamental advances in our understanding of replication have come from viruses that infect both animal and non-animal hosts.

The devastating effects of viral diseases such as AIDs, smallpox, polio, influenza, diarrhea, and hepatitis are well known, and studies of viral pathogens are easily justified from a world health perspective. Sobering examples of emerging viral diseases have occurred . Among these are the sudden emergence of the coronavirus that causes severe acute respiratory syndrome (SARS), the continued transmission of an avian influenza virus to humans ("bird flu"), and the isolation of poliovirus vaccine-wild type recombinants that have hampered poliovirus eradication efforts. In addition, the threat of bioterrorism became a reality on U.S. soil, creating an obligation for scientists to respond with aggressive countermeasures. Vaccination remains the preferred strategy for controlling viral diseases because the intimate association of viruses with the host cellular machinery complicates the development of safe drugs. However, certain viruses have proven difficult targets for vaccines, and antiviral drugs provide the only option for controlling disease.

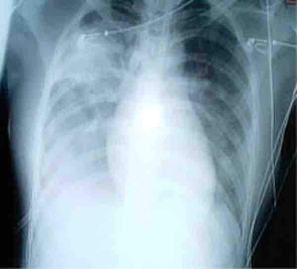
Medical importance of SARS

A chest x-ray showing increased opacity in both lungs, indicative of pneumonia, in a patient with SARS.

[ edit ]
Edit this content
Prev Concept
Evolution of Viruses
Batch Culture of Bacteriophages
Next Concept
Subjects
  • Accounting
  • Algebra
  • Art History
  • Biology
  • Business
  • Calculus
  • Chemistry
  • Communications
  • Economics
  • Finance
  • Management
  • Marketing
  • Microbiology
  • Physics
  • Physiology
  • Political Science
  • Psychology
  • Sociology
  • Statistics
  • U.S. History
  • World History
  • Writing

Except where noted, content and user contributions on this site are licensed under CC BY-SA 4.0 with attribution required.