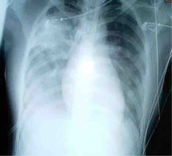
A chest x-ray showing increased opacity in both lungs, indicative of pneumonia, in a patient with SARS.
Boundless vets and curates high-quality, openly licensed content from around the Internet. This particular resource used the following sources: