Microbiology
Textbooks
Boundless Microbiology
Cell Structure of Bacteria, Archaea, and Eukaryotes
Specialized Internal Structures of Prokaryotes
Microbiology Textbooks Boundless Microbiology Cell Structure of Bacteria, Archaea, and Eukaryotes Specialized Internal Structures of Prokaryotes
Microbiology Textbooks Boundless Microbiology Cell Structure of Bacteria, Archaea, and Eukaryotes
Microbiology Textbooks Boundless Microbiology
Microbiology Textbooks
Microbiology
Concept Version 7
Created by Boundless

Cell Inclusions and Storage Granules

Bacteria have different methods of nutrient storage that are employed in times of plenty, for use in times of want.

Learning Objective

  • Explain the hypothesis regarding the formation of inclusion bodies and the importance of storage granules


Key Points

    • Sulfur granules are especially common in bacteria that use hydrogen sulfide as an electron source.
    • When genes from one organism are expressed in another, the resulting protein sometimes forms inclusion bodies.
    • Many bacteria store excess carbon in the form of polyhydroxyalkanoates or glycogen.

Term

  • Inclusion bodies

    Inclusion bodies are nuclear or cytoplasmic aggregates of stainable substances, usually proteins.


Full Text

Cell Inclusions and Storage Granules

Bacteria, despite their simplicity, contain a well-developed cell structure responsible for many unique biological properties not found among archaea or eukaryotes. Because of the simplicity of bacteria relative to larger organisms, and the ease with which they can be manipulated experimentally, the cell structure of bacteria has been well studied, revealing many biochemical principles that have been subsequently applied to other organisms.

Most bacteria do not live in environments that contain large amounts of nutrients at all times. To accommodate these transient levels of nutrients, bacteria contain several different methods of nutrient storage that are employed in times of plenty, for use in times of want. For example, many bacteria store excess carbon in the form of polyhydroxyalkanoates or glycogen. Some microbes store soluble nutrients, such as nitrate in vacuoles. Sulfur is most often stored as elemental (S0) granules which can be deposited either intra- or extracellularly. Sulfur granules are especially common in bacteria that use hydrogen sulfide as an electron source. Most of the above mentioned examples can be viewed using a microscope, and are surrounded by a thin non-unit membrane to separate them from the cytoplasm.

Inclusion bodies are nuclear or cytoplasmic aggregates of stainable substances, usually proteins. They typically represent sites of viral multiplication in a bacterium or a eukaryotic cell, and usually consist of viral capsid proteins . Inclusion bodies have a non-unit lipid membrane. Protein inclusion bodies are classically thought to contain misfolded protein. However, this has recently been contested, as green fluorescent protein will sometimes fluoresce in inclusion bodies, which indicates some resemblance of the native structure and researchers have recovered folded protein from inclusion bodies.

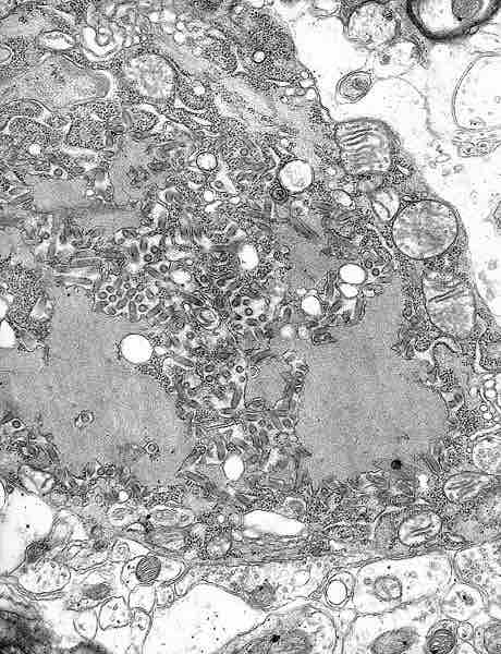
Electron Micrograph of the Rabies Virus.

This electron micrograph shows the rabies virus, as well as Negri bodies, or cellular inclusions.

When genes from one organism are expressed in another the resulting protein sometimes forms inclusion bodies. This is often true when large evolutionary distances are crossed; for example, a cDNA isolated from Eukarya and expressed as a recombinant gene in a prokaryote, risks the formation of the inactive aggregates of protein known as inclusion bodies. While the cDNA may properly code for a translatable mRNA, the protein that results will emerge in a foreign microenvironment. This often has fatal effects, especially if the intent of cloning is to produce a biologically active protein. For example, eukaryotic systems for carbohydrate modification and membrane transport are not found in prokaryotes.

The internal microenvironment of a prokaryotic cell (pH, osmolarity) may differ from that of the original source of the gene. Mechanisms for folding a protein may also be absent, and hydrophobic residues that normally would remain buried may be exposed and available for interaction with similar exposed sites on other ectopic proteins. Processing systems for the cleavage and removal of internal peptides would also be absent in bacteria. The initial attempts to clone insulin in a bacterium suffered all of these deficits. In addition, the fine controls that may keep the concentration of a protein low will also be missing in a prokaryotic cell, and overexpression can result in filling a cell with ectopic protein that, even if it were properly folded, would precipitate by saturating its environment.

[ edit ]
Edit this content
Prev Concept
Ribosomes
Carboxysomes
Next Concept
Subjects
  • Accounting
  • Algebra
  • Art History
  • Biology
  • Business
  • Calculus
  • Chemistry
  • Communications
  • Economics
  • Finance
  • Management
  • Marketing
  • Microbiology
  • Physics
  • Physiology
  • Political Science
  • Psychology
  • Sociology
  • Statistics
  • U.S. History
  • World History
  • Writing

Except where noted, content and user contributions on this site are licensed under CC BY-SA 4.0 with attribution required.