Concept
Version 7
Created by Boundless
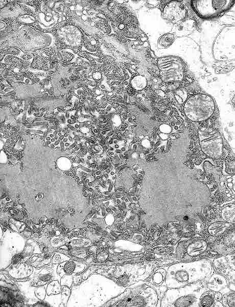
Cell Inclusions and Storage Granules

Electron Micrograph of the Rabies Virus.
This electron micrograph shows the rabies virus, as well as Negri bodies, or cellular inclusions.
Source
Boundless vets and curates high-quality, openly licensed content from around the Internet. This particular resource used the following sources:
"Rabies Virus EM PHIL 1876."
http://en.wikipedia.org/wiki/File:Rabies_Virus_EM_PHIL_1876.JPG
Wikipedia
Public domain.