Chemistry
Textbooks
Boundless Chemistry
Nuclear Chemistry
Effects of Radiation on Life
Chemistry Textbooks Boundless Chemistry Nuclear Chemistry Effects of Radiation on Life
Chemistry Textbooks Boundless Chemistry Nuclear Chemistry
Chemistry Textbooks Boundless Chemistry
Chemistry Textbooks
Chemistry
Concept Version 7
Created by Boundless

Genetic Defects from Radiation

Ionizing radiation from fallout can cause genetic effects, birth defects, cancer, cataracts, and other organ and tissue defects.

Learning Objective

  • Recognize the name of the genetic defect that has been shown to be caused by acute radiation exposure during pregnancy


Key Points

    • By directly or indirectly ionizing, radiation can cause changes in a cell's ability to conduct repair and reproduction.
    • Exposure to even relatively low doses of radiation has been shown to generate genetic damage in the progeny of irradiated rodents.
    • In humans, microcephaly is the only proven malformation, or congenital abnormality, found in the developing human fetuses present during the Hiroshima and Nagasaki bombings.

Terms

  • microcephaly

    A neurological disorder which causes the affected person to have an abnormally small head due to a failure of brain growth.

  • ionizing radiation

    High-energy radiation that is capable of causing ionization in substances through which it passes; also includes high-energy particles.

  • congenital

    Present since birth.


Full Text

The medical effects of a nuclear blast upon humans can be put into four categories:

  • Initial stage: the first 1–9 weeks; the period with the greatest number of deaths—90 percent due to thermal injury and/or blast effects and 10 percent due to super-lethal radiation exposure.
  • Intermediate stage: from 10–12 weeks; deaths in this period are from ionizing radiation in the median lethal range.
  • Late period: lasting from 13–20 weeks; this period shows some improvement in survivors' conditions.
  • Delayed period: from 20+ weeks; characterized by a variety of complications.

Ionizing radiation from fallout can cause genetic effects, birth defects, cancer, cataracts, and other organ and tissue defects. By directly or indirectly ionizing, radiation can affect a cell's ability to conduct repair and reproduction. Exposure to even relatively low doses of radiation has been shown to generate genetic damage in the progeny of irradiated rodents. This damage can accumulate over several generations.

In humans, microcephaly is the only proven malformation, or congenital abnormality, found in the developing human fetuses present during the Hiroshima and Nagasaki bombings. No statistically demonstrable increase in congenital malformations was found among the later-conceived children born to survivors of the nuclear weapons at Hiroshima and Nagasaki. Surviving women of Hiroshima and Nagasaki—even those exposed to substantial amounts of radiation—had children with no higher incidence of abnormalities than the Japanese average.

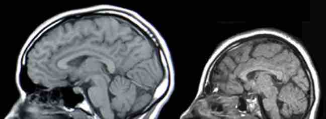
Microcephaly

MRIs of a normal individual (left) and a patient with microcephaly (right).

[ edit ]
Edit this content
Prev Concept
Increased Cancer Risk from Radiation
Measuring Radiation Exposure
Next Concept
Subjects
  • Accounting
  • Algebra
  • Art History
  • Biology
  • Business
  • Calculus
  • Chemistry
  • Communications
  • Economics
  • Finance
  • Management
  • Marketing
  • Microbiology
  • Physics
  • Physiology
  • Political Science
  • Psychology
  • Sociology
  • Statistics
  • U.S. History
  • World History
  • Writing

Except where noted, content and user contributions on this site are licensed under CC BY-SA 4.0 with attribution required.