Chemistry
Textbooks
Boundless Chemistry
Nuclear Chemistry
Effects of Radiation on Life
Chemistry Textbooks Boundless Chemistry Nuclear Chemistry Effects of Radiation on Life
Chemistry Textbooks Boundless Chemistry Nuclear Chemistry
Chemistry Textbooks Boundless Chemistry
Chemistry Textbooks
Chemistry
Concept Version 7
Created by Boundless

Genetic Defects from Radiation

Microcephaly

Microcephaly

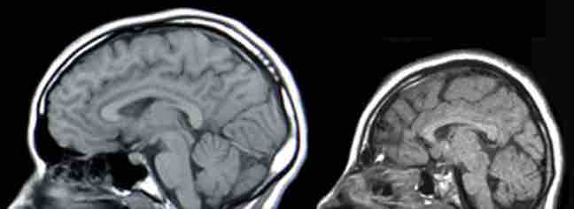
MRIs of a normal individual (left) and a patient with microcephaly (right).

Source

    Boundless vets and curates high-quality, openly licensed content from around the Internet. This particular resource used the following sources:

    "Microcephaly."
    http://en.wikipedia.org/wiki/Microcephaly Wikipedia GNU FDL.

Related Terms

  • microcephaly
  • ionizing radiation
  • congenital
  • Subjects
    • Accounting
    • Algebra
    • Art History
    • Biology
    • Business
    • Calculus
    • Chemistry
    • Communications
    • Economics
    • Finance
    • Management
    • Marketing
    • Microbiology
    • Physics
    • Physiology
    • Political Science
    • Psychology
    • Sociology
    • Statistics
    • U.S. History
    • World History
    • Writing

    Except where noted, content and user contributions on this site are licensed under CC BY-SA 4.0 with attribution required.