Physiology
Textbooks
Boundless Anatomy and Physiology
Physiology Textbooks Boundless Anatomy and Physiology
Physiology Textbooks
Physiology

Chapter 29

APPENDIX A: Diseases, Injuries, and Disorders of the Organ Systems

Book Version 29
By Boundless
Boundless Anatomy and Physiology
Physiology
by Boundless
View the full table of contents
Section 1
Diseases, Injuries, and Disorders of the Integumentary System
Thumbnail
Burns

A burn is a type of injury to flesh caused by heat, electricity, chemicals, light, radiation, or friction.

Thumbnail
Allergies

An allergy is a hypersensitivity disorder of the immune system.

Thumbnail
Acne

Acne, clinically known as acne vulgaris, is a common human skin disease affecting the skin of the face, upper parts of the chest, and back.

Section 2
Diseases and Disorders of the Skeletal System
Thumbnail
Osteoporosis

Osteoporosis, the result of reduced bone mineral density, can lead to an increased risk for fractures.

Thumbnail
Paget's Disease

Paget's disease is a chronic bone disorder that causes affected bones to become large and misshapen.

Section 3
Injuries and Disorders of the Skeleton
Thumbnail
Spina Bifida

Spina bifida is a developmental congenital disorder caused by the incomplete closing of the embryonic neural tube.

Section 4
Diseases, Disorders, and Injuries of the Joints
Thumbnail
Sprain and Strain

A strain is a tear in tendon fibers resulting from overstretching, while a sprain is an equivalent injury to a ligament.

Thumbnail
Rheumatism and Arthritis

Rheumatoid arthritis is a chronic, systemic inflammatory disorder that affects many tissues and organs, but mainly attacks flexible joints.

Section 5
Diseases, Disorders, and Injuries of the Muscular System
Thumbnail
Muscular Dystrophy

Muscular dystrophy (MD) is a group of muscle diseases characterized by non-functional muscle proteins that impair proper function.

Thumbnail
Exercise-Induced Muscle Damage

Exercise damages muscles due to eccentric and concentric muscle loading and often results in delayed onset muscle soreness (DOMS).

Thumbnail
Carpal Tunnel Syndrome

Carpal tunnel syndrome is an entrapment median neuropathy of the median nerve due to its compression at the wrist in the carpal tunnel.

Section 6
Injuries, Diseases, and Disorders of the Central Nervous System
Thumbnail
Traumatic Brain Injury

Traumatic brain injury (TBI) occurs when an external force injures the brain and can be caused by a direct impact or by acceleration alone.

Thumbnail
Cerebrovascular Accident

A cerebrovascular accident results from loss of oxygenated blood to a region of the brain and is typically accompanied by neuronal loss.

Thumbnail
Transient Ischemic Attacks

A transient ischemic attack is similar to a stroke; though without permanent damage, it can serve as an important risk factor for stroke.

Thumbnail
Alzheimer's Disease

Alzheimer's disease is an age-linked neurodegenerative disorder characterized by marked dementia.

Thumbnail
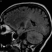
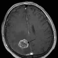
Brain Tumors

A brain tumor is a pathological abnormal growth of cells in the brain.

Thumbnail
Amyotrophic Lateral Sclerosis

Amyotrophic lateral sclerosis (ALS) is caused by degeneration of upper and lower motor neurons, resulting in muscle weakness and atrophy.

Section 7
Diseases and Disorders of the Endocrine System
Thumbnail
Pancreatic Islet Disorders: Diabetes and Hyperinsulinism

Hyperinsulinism refers to an above-normal level of insulin in the blood of a person or animal.

Thumbnail
Posttraumatic Stress Disorder (PTSD)

Posttraumatic stress disorder (PTSD) develops after exposure to an event that is so stressful for an individual that it becomes traumatic.

Section 8
Blood Diseases and Disorders
Thumbnail
Hemostasis Disorders

The most common blood disorders involve defects in the amount or activity of factors involved in coagulation.

Thumbnail
Anemia

Anemia is a decrease in number of red blood cells or less than the normal quantity of hemoglobin in the blood resulting in tissue hypoxia.

Thumbnail
Sickle-Cell Disease

Sickle-cell disease is an autosomal recessive genetic blood disorder in which red blood cells assume a rigid sickle shape.

Thumbnail
Leukemia

Leukemia is a term covering a spectrum of cancers of the blood or bone marrow characterized by an increase in immature white blood cells.

Section 9
Diseases and Disorders of the Heart
Thumbnail
Congenital Heart Defects

A congenital heart defect is a defect in the structure of the heart and great vessels that is present at birth.

Myocarditis and Endocarditis

Endocarditis and myocarditis are driven by inflammation of the heart.

Thumbnail
Myocardial Ischemia and Infarction

Ischemic heart disease is caused by reduced blood flow to the heart muscle, usually due to atherosclerosis, and can lead to a heart attack.

Thumbnail
Arrhythmia

Cardiac arrhythmia (irregular heartbeat) are a heterogeneous group of conditions involving abnormal electrical activity in the heart.

Section 10
Circulatory Diseases and Disorders
Thumbnail
Angiogenesis and Disease

Angiogenesis, the growth of new blood vessels from existing vessels, contributes to both normal tissue growth and tumorigenesis in cancer.

Thumbnail
Varicose Veins

Varicose veins, typically found in the legs, are those that have become enlarged and tortuous due to malfunctioning valves.

Thumbnail
Syncope

Syncope, the medical term for fainting, is a transient loss of consciousness.

Thumbnail
Hypertension

Hypertension is elevated blood pressure, clinically defined as at or greater than 140/90 (systolic/diastolic) mm/Hg.

Section 11
Diseases and Disorders of the Immune System
Thumbnail
Immunodeficiencies

Immunodeficiency is a state where the immune system's ability to fight infectious disease is impaired or absent.

Thumbnail
Autoimmune Diseases

Autoimmune diseases are an inappropriate immune response against tissues in the body.

Thumbnail
Infectious Mononucleosis

Mononucleosis is an infectious disease caused by the Epstein-Barr virus (EBV) and results in flu-like symptoms.

Thumbnail
Psoriasis

Psoriasis is an autoimmune disease that affects the skin, caused by faulty immune signals that speed up the growth cycle of skin cells.

Section 12
Respiratory Diseases and Disorders
Thumbnail
Asthma

Asthma is a common chronic inflammatory disease of the airways characterized by reversible airflow obstruction and bronchospasm.

Thumbnail
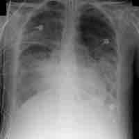
Respiratory Distress Syndrome

Acute respiratory distress syndrome (ARDS) is a serious reaction to various forms of injuries or acute infection to the lung.

Thumbnail
Cystic Fibrosis

Cystic fibrosis (CF) is an autosomal recessive disorder leading to respiratory congestion, multiple organ failure, and metabolic changes.

Thumbnail
Hypoxia

Hypoxia, or hypoxiation, is inadequate oxygen supply to the body as a whole (generalized hypoxia) or a region of the body (tissue hypoxia).

Section 13
Diseases and Disorders of the Digestive System
Thumbnail
Peritonitis

Peritonitis is an inflammation of the peritoneum, usually caused by an infectious organism that is introduced into the abdominal cavity.

Thumbnail
Mumps

Mumps was a common childhood viral disease, but widespread vaccination has now made it rare in developed countries.

Thumbnail
Lactose Intolerance

Lactose intolerance is the inability to digest lactose, a sugar found in milk, due to a lack of the enzyme lactase.

Thumbnail
Peptic Ulcer Disease

A peptic ulcer, also known as peptic ulcer disease, is an erosion in the wall of the stomach, duodenum, or esophagus.

Section 14
Diseases and Disorders of the Metabolism
Thumbnail
Phenylketonuria (PKU)

Phenylketonuria (PKU) is an autosomal recessive metabolic genetic disorder due to a mutation in the phenylalanine hydroxylasegene gene.

Thumbnail
Galactosemia and Glycogen Storage Disease

Galactosemia and GSD are two diseases that are caused by improper carbohydrate metabolism.

Section 15
Diseases and Disorders of the Urinary System
Thumbnail
Renal Disease and Failure

Renal failure uremia is a syndrome of renal failure characterized by elevated levels of urea and creatinine in the blood.

Thumbnail
Nephroptosis (Floating Kidney)

Nephroptosis is an abnormal condition in which the kidney drops down into the pelvis when the patient stands up.

Thumbnail
Polycystic Kidney Disease

Polycystic kidney disease (PKD) is a cystic genetic disorder of the kidneys.

Section 16
Body Fluid-Related Diseases and Disorders
Thumbnail
Acidosis

Acidosis describes increased acidity in the blood and other tissues, usually measured as arterial pH below 7.35.

Thumbnail
Alkalosis

Alkalosis is the increased alkalinity of blood and other tissues, generally occurring when the blood pH is above 7.45.

Thumbnail
Edema

Edema is an abnormal accumulation of fluid beneath the skin or in one or more cavities of the body that produces swelling.

Section 17
Diseases and Disorders of the Reproductive System
Thumbnail
Sexually Transmitted Diseases (STDs)

A sexually transmitted infection is passed between people during unprotected sexual intercourse with an infected partner.

Thumbnail
Erectile Dysfunction and the Blue Pill

Erectile dysfunction (ED) is the inability to develop or maintain an erection during sexual intercourse.

Thumbnail
Cervical Cancer

Cervical cancer is a cancer that originates in the cervix of a female.

Section 18
Pregnancy-Related Disorders
Thumbnail
Ectopic Pregnancy

An ectopic pregnancy is implantation and development of the embryo outside the uterus, typically in the fallopian tubes.

Thumbnail
Infertility

Infertility, in both males and females, refers to the inability to contribute to conception.

You are in this book
Boundless Anatomy and Physiology by Boundless
Previous Chapter
Chapter 28
Reproduction, Chromosomes, and Meiosis
  • The Link Between Genotype and Phenotype
  • Inherited Variation
  • Chromosomal Behavior in Meiosis and Fertilization
  • DNA
  • Cell Division
and 5 more sections...
Current Chapter
Chapter 29
APPENDIX A: Diseases, Injuries, and Disorders of the Organ Systems
  • Diseases, Injuries, and Disorders of the Integumentary System
  • Diseases and Disorders of the Skeletal System
  • Injuries and Disorders of the Skeleton
  • Diseases, Disorders, and Injuries of the Joints
  • Diseases, Disorders, and Injuries of the Muscular System
and 13 more sections...
Next Chapter
Chapter 30
APPENDIX B: Development and Aging of the Organ Systems
  • Integumentary System Development
  • Bone Development
  • Development of the Skeleton
  • Joint Development
  • Muscle Development
and 14 more sections...
Subjects
  • Accounting
  • Algebra
  • Art History
  • Biology
  • Business
  • Calculus
  • Chemistry
  • Communications
  • Economics
  • Finance
  • Management
  • Marketing
  • Microbiology
  • Physics
  • Physiology
  • Political Science
  • Psychology
  • Sociology
  • Statistics
  • U.S. History
  • World History
  • Writing

Except where noted, content and user contributions on this site are licensed under CC BY-SA 4.0 with attribution required.