Microbiology
Textbooks
Boundless Microbiology
Diseases
Bacterial Diseases of the Reproductive System
Microbiology Textbooks Boundless Microbiology Diseases Bacterial Diseases of the Reproductive System
Microbiology Textbooks Boundless Microbiology Diseases
Microbiology Textbooks Boundless Microbiology
Microbiology Textbooks
Microbiology
Concept Version 5
Created by Boundless

Prostatitis

Prostatitis is an inflammation of the prostate which can be caused by bacteria.

Learning Objective

  • Define the symptoms, diagnostic tests and treatments used for prostatitis


Key Points

    • Bacteria can cause acute and chronic prostatitis.
    • Acute prostatitis is a serious condition that needs immediate treatment with antibiotics. If treated promptly complications are rare.
    • Chronic prostatitis is a rare disease that is harder to treat and has high recurrence rate. In the case of remission, combinations of antibiotics may be a better therapy than a single antibiotic.

Terms

  • bactericidal

    An agent that kills bacteria.

  • bacteriostatic

    A drug that prevents bacterial growth and reproduction but does not necessarily kill them. When it is removed from the environment the bacteria start growing again.

  • cystitis

    An inflammation of the urinary bladder.


Full Text

Prostatitis is an inflammation of the prostate which can be caused by bacteria. Bacterial infections can cause both acute and chronic prostatitis.

Symptoms and diagnosis

Acute prostatitis is relatively easy to diagnose because it presents the general infection symptoms which may include: fever, chills, groin and lower back pain, issues during urination, and general body aches. The prostate is usually enlarged. Testing of urine samples reveals the presence of bacteria and white blood cells. Blood samples can contain bacteria. White blood cells counts are elevated in the complete blood count.

Chronic prostatitis is a rare condition . It usually causes intermittent urinary tract infections (UTIs) which can lead to cystitis. Sometimes there are no symptoms. The diagnosis is made after culturing urine or prostate liquid. Semen analysis can also be used for diagnosis it. PSA (prostate specific antigen) levels may be elevated.

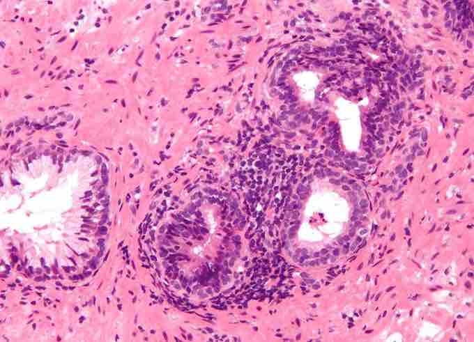
Histologic image of chronic prostatitis

The single gland on the left is healthy, while the glands on the right are inflamed

INFECTIOUS AGENTS

Common bacteria that cause acute prostatitis include gram negative bacteria such as Escherichia coli, Klebsiella, Proteus, Enterobacter, Pseudomonas, as well as gram positive bacteria such as Staphylococcus aureus. E. coli is the major infectious agent that causes chronic prostatitis.

TREATMENT

Acute prostatitis is a serious condition that requires immediate treatment to prevent complications such as sepsis. The antibiotics of choice should be bactericidal (e.g., quinolone) not bacteriostatic (e.g., tetracycline) if the infection is life-threatening. Other commonly used antibiotics are doxycycline and ciprofloxacin. Severe infections may require hospitalization, while milder cases (no sepsis) can be treated with antibiotic administration combined with bed rest at home. The infection is usually cured successfully with antibiotics and the recovery is complete without further complications. Treatment of chronic prostatitis requires courses of antibiotic administration for one to two months or a longer course with low doses. The recurrence of the disease is high. In these cases higher success rates of treatment are achieved when a combination of antibiotics is used. Animal studies have shown that E. coli extract with cranberry can prevent chronic prostatitis. The choice of antibiotic for chronic prostatitis also depends on its ability to penetrate the prostatic capsule. Good penetrators of the barrier are quinolones, doxycycline, macrolides and sulfas (Bactrim). In the case of acute prostatitis, the prostate-blood barrier is damaged by the infection so the penetrating ability of the antibiotic is not as important.

[ edit ]
Edit this content
Prev Concept
Leptospirosis
Prostatitis
Next Concept
Subjects
  • Accounting
  • Algebra
  • Art History
  • Biology
  • Business
  • Calculus
  • Chemistry
  • Communications
  • Economics
  • Finance
  • Management
  • Marketing
  • Microbiology
  • Physics
  • Physiology
  • Political Science
  • Psychology
  • Sociology
  • Statistics
  • U.S. History
  • World History
  • Writing

Except where noted, content and user contributions on this site are licensed under CC BY-SA 4.0 with attribution required.