Microbiology
Textbooks
Boundless Microbiology
Diseases
Bacterial Diseases of the Reproductive System
Microbiology Textbooks Boundless Microbiology Diseases Bacterial Diseases of the Reproductive System
Microbiology Textbooks Boundless Microbiology Diseases
Microbiology Textbooks Boundless Microbiology
Microbiology Textbooks
Microbiology
Concept Version 5
Created by Boundless

Prostatitis

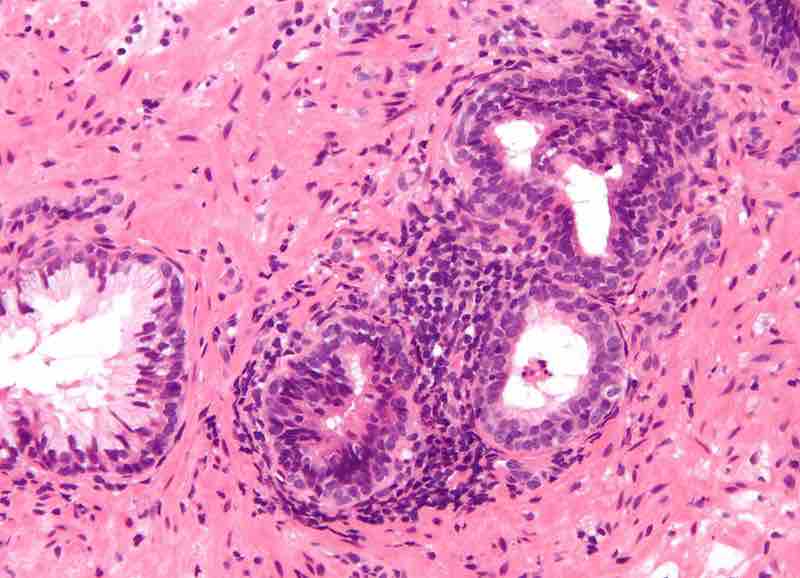
Histologic image of chronic prostatitis

Histologic image of chronic prostatitis

The single gland on the left is healthy, while the glands on the right are inflamed

Source

    Boundless vets and curates high-quality, openly licensed content from around the Internet. This particular resource used the following sources:

    "Inflammation of prostate."
    http://commons.wikimedia.org/wiki/File:Inflammation_of_prostate.jpg Wikimedia CC BY-SA.

Related Terms

  • bactericidal
  • bacteriostatic
  • cystitis
  • Subjects
    • Accounting
    • Algebra
    • Art History
    • Biology
    • Business
    • Calculus
    • Chemistry
    • Communications
    • Economics
    • Finance
    • Management
    • Marketing
    • Microbiology
    • Physics
    • Physiology
    • Political Science
    • Psychology
    • Sociology
    • Statistics
    • U.S. History
    • World History
    • Writing

    Except where noted, content and user contributions on this site are licensed under CC BY-SA 4.0 with attribution required.