Spongiosis
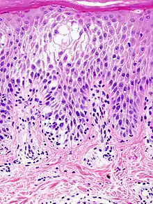
Spongiosis is mainly intercellular[1] edema (abnormal accumulation of fluid) in the epidermis,[2] and is characteristic of eczematous dermatitis, manifested clinically by intraepidermal vesicles (fluid-containing spaces), "juicy" papules, and/or lichenification.[3] It is a severe case of eczema that affects the epidermis, dermis and/or subcutaneous skin tissues.[4][5] The three types of spongiotic dermatitis are acute, subacute and chronic.[5] A dermatologist can diagnose acute spongiotic dermatitis by examining the skin during an office visit but a biopsy is needed for an accurate diagnosis of the type.[6]
_Dyshidrotic.JPG.webp)
It can be caused by several internal or external factors such as food, an insect bite, stress, medication or cosmetics. The treatment varies depending on the type and severity; it is normally treated with topical corticosteroid cream.[6]
See also
References
- Rapini, Ronald P.; Bolognia, Jean L.; Jorizzo, Joseph L. (2007). Dermatology: 2-Volume Set. St. Louis: Mosby. pp. Chapter: Clinical and Pathologic Differential Diagnosis. ISBN 978-1-4160-2999-1.
- Kumar, Vinay; Fausto, Nelso; Abbas, Abul (2004) Robbins & Cotran Pathologic Basis of Disease (7th ed.). Saunders. Page 1230. ISBN 0-7216-0187-1.
- Marks, James G; Miller, Jeffery (2006). Lookingbill and Marks' Principles of Dermatology (4th ed.). Elsevier Inc. Page 28. ISBN 1-4160-3185-5.
- Kinder, Megan. "Spongiotic Dermatitis Treatment". Dermatitis Information.
- Alsaad, K O; Ghazarian, D (Dec 2005). "My Approach to Superficial Inflammatory Dermatoses". Journal of Clinical Pathology. 58.12 (2005) (12): 1233–1241. doi:10.1136/jcp.2005.027151. PMC 1770784. PMID 16311340 – via PMC.
- Jewell, Tim (March 22, 2017). "Spongiotic Dermatitis". Healthline.