Sesamoid bone

In anatomy, a sesamoid bone (/ˈsɛsəmɔɪd/)[1][2] is a bone embedded within a tendon or a muscle.[3] Its name is derived from the Greek word for 'sesame seed', indicating the small size of most sesamoids. Often, these bones form in response to strain,[4] or can be present as a normal variant. The patella is the largest sesamoid bone in the body. Sesamoids act like pulleys, providing a smooth surface for tendons to slide over, increasing the tendon's ability to transmit muscular forces.[3]

Sesamoid bone
Sesamoid bones at the distal end of the first metatarsal bone of the foot.
Details
Identifiers
Latin
  • os sesamoideum
  • pl. ossa sesamoidea
MeSHD012716
TA98A02.0.00.016
TA2374
FMA32672
Anatomical terms of bone

Structure

Prevalence, structure, and locations of sesamoid bones of the hand.[5][6]

Sesamoid bones can be found on joints throughout the human body, including:

Common variants

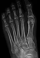
X-ray of the foot by dorsoplantar view, with most common accessory and sesamoid bones.[10]
  • One or both of the sesamoid bones under the first metatarsophalangeal joint (of the great toe) can be multipartite – in two or three parts (mostly bipartite – in two parts).[11]
  • The fabella is a small sesamoid bone found in some mammals embedded in the tendon of the lateral head of the gastrocnemius muscle behind the lateral condyle of the femur. It is a variant of normal anatomy and present in humans in 10% to 30% of individuals. The fabella can also be mutipartite or bipartite.[12]
  • The cyamella is a small sesamoid bone embedded in the tendon of the popliteus muscle. It is a variant of normal anatomy. It is rarely seen in humans, but has been described more often in other primates and certain other animals.[13]

Clinical significance

  • A common foot ailment in dancers is sesamoiditis (an inflammation of the sesamoid bones under the first metatarsophalangeal joint of the big toe). This is a form of tendinitis which results from the tendons surrounding the sesamoid becoming inflamed or irritated.[3]
  • Sesamoid bones generally have a very limited blood supply, rendering them prone to avascular necrosis (bone death from lack of blood supply), which is very difficult to treat.[14]

Other animals

In equine anatomy, the term sesamoid bone usually refers to the two sesamoid bones found at the back of the fetlock or metacarpophalangeal and metatarsophalangeal joints in both hindlimbs and forelimbs. Strictly these should be termed the proximal sesamoid bones whereas the navicular bone should be referred to as the distal sesamoid bone. The patella is also a form of sesamoid bone in the horse.

Although many carnivores have radial sesamoid bones,[15] the giant panda and red panda independently evolved to have an enlarged radial sesamoid bone.[15][16] This evolution has caused the two species to diverge from other carnivores.[15] The red panda likely originally evolved the "pseudo-thumb" in order to assist in arboreal locomotion.[16][15] When the red panda later evolved to consume a bamboo diet, the enlarged bone underwent exaptation to assist in grasping bamboo.[17][15][18][16] The giant panda, however, evolved the enlarged radial sesamoid bone around the same time as it evolved a bamboo diet.[16] In the giant panda, the bone allows for a pincer-like motion and is used in grasping the bamboo.[19][20] In these two panda species, DYNC2H1 gene and PCNT gene have been identified as possible causes for the pseudo-thumb development.[21]

Recently, the enlarged radial sesamoid bone of cotton rats has been studied.[22] Their enlarged radial sesamoid bone and that of the giant panda have a similar morphology and size relative to the rest of the hand.[22] The reason for this evolutionary change is still unknown; however, it may be to assist in grasping small objects and thin branches.[22]

Elephants have similarly enlarged sesamoid bones in both their forelimbs and hindlimbs, referred to as the prepollex and prehallux, respectively. These sesamoids function as "sixth toes", helping to distribute the animals' weight. In contrast to other sesamoids in elephants, which ossify at 3-7 years of age, the ossification of the prepollex and prehallux is delayed and is known to not have yet occurred in animals in excess of 20 years of age. The prehallux is further divided into two elements; the more proximal of these is fixed, whilst the more distal is mobile. Evidence of these "predigits" has also been found in certain fossil proboscideans. [23]

The forepaws of moles also possess a prepollex consisting of an enlarged, sickle-shaped sesamoid.

See also

Footnotes

  1. OED 2nd edition, 1989 as /sεsəmɔɪd/
  2. Entry "sesamoid" in Merriam-Webster Online Dictionary.
  3. "Sesamoid Injuries". aofas.org.
  4. Saladin, Kenneth S. (2012). Anatomy and Physiology (6th ed.). New York: McGraw Hill. p. 234. ISBN 978-0-07-337825-1.
  5. Erica Chu, Donald Resnick (June 2014). "Sesamoid Bones: Normal and Abnormal". MRI Web Clinic. Retrieved 2017-11-04.{{cite web}}: CS1 maint: uses authors parameter (link)
  6. Chen W, Cheng J, Sun R, Zhang Z, Zhu Y, Ipaktchi K, et al. (2015). "Prevalence and variation of sesamoid bones in the hand: a multi-center radiographic study". Int J Clin Exp Med. 8 (7): 11721–11726. PMC 4565393. PMID 26380010.
  7. White, Tim D. (2000). Human Osteology (2nd ed.). San Diego: Academic Press. pp. 199, 205. ISBN 978-0-12-746612-5.
  8. Saladin, Kenneth S. (2012). Anatomy and Physiology (6th ed.). New York: McGraw Hill. p. 263. ISBN 978-0-07-337825-1.
  9. White, Tim D. (2000). Human Osteology (2nd ed.). San Diego: Academic Press. pp. 257–261. ISBN 978-0-12-746612-5.
  10. Reference list for image is located at Commons:Template:Accessory and sesamoid bones of the foot - references.
  11. Knipe, Henry. "Multipartite hallux sesamoid | Radiology Reference Article | Radiopaedia.org". radiopaedia.org.
  12. Luijkx, Tim; Knipe, Henry. "Fabella". Radiopaedia. Retrieved 2015-09-18.
  13. Akansel, Gur; Inan, Nagihan; Sarisoy, H. Tahsin; Anik, Yonca; Akansel, Sertaç (2006). "Popliteus muscle sesamoid bone (Cyamella): Appearance on radiographs, CT and MRI". Surgical and Radiologic Anatomy. 28 (6): 642–645. doi:10.1007/s00276-006-0134-8. PMID 17066262. S2CID 13339926.
  14. "bunion, hammer toe, nail fungus, hallux rigidus". footankleinstitute.com.
  15. Antón, Mauricio; Salesa, Manuel J.; Pastor, Juan F.; Peigné, Stéphane; Morales, Jorge (2006-12-01). "Implications of the functional anatomy of the hand and forearm of Ailurus fulgens (Carnivora, Ailuridae) for the evolution of the 'false-thumb' in pandas". Journal of Anatomy. 209 (6): 757–764. doi:10.1111/j.1469-7580.2006.00649.x. ISSN 1469-7580. PMC 2049003. PMID 17118063.
  16. Salesa, Manuel J.; Antón, Mauricio; Peigné, Stéphane; Morales, Jorge (2006). "Evidence of a false thumb in a fossil carnivore clarifies the evolution of pandas". PNAS. 103 (2): 379–382. Bibcode:2006PNAS..103..379S. doi:10.1073/pnas.0504899102. PMC 1326154. PMID 16387860.
  17. Abella, Juan; Pérez-Ramos, Alejandro; Valenciano, Alberto; Alba, David M.; Ercoli, Marcos D.; Hontecillas, Daniel; Montoya, Plinio; Morales, Jorge (2015-06-01). "Tracing the origin of the panda's thumb". The Science of Nature. 102 (5–6): 35. Bibcode:2015SciNa.102...35A. doi:10.1007/s00114-015-1286-3. hdl:10261/123456. ISSN 0028-1042. PMID 26036823. S2CID 16846874.
  18. Endo, Hideki; Sasaki, Motoki; Kogiku, Hiroyuki; Yamamoto, Masako; Arishima, Kazuyoshi (2001). "Radial sesamoid bone as a part of the manipulation system in the lesser panda (Ailurus fulgens)". Annals of Anatomy - Anatomischer Anzeiger. 183 (2): 181–184. doi:10.1016/s0940-9602(01)80045-5. PMID 11325067.
  19. Endo, Hideki; Sasaki, Motoki; Hayashi, Yoshihiro; Koie, Hiroshi; Yamaya, Yoshiki; Kimura, Junpei (2001-02-01). "Carpal bone movements in gripping action of the giant panda (Ailuropoda melanoleuca)". Journal of Anatomy. 198 (2): 243–246. doi:10.1046/j.1469-7580.2001.19820243.x. ISSN 1469-7580. PMC 1468214. PMID 11273049.
  20. Endo, Hideki; Yamagiwa, Daishiro; Hayashi, Yoshihiro; Koie, Hiroshi; Yamaya, Yoshiki; Kimura, Junpei (1999-01-28). "Role of the giant panda's 'pseudo-thumb'". Nature. 397 (6717): 309–310. Bibcode:1999Natur.397..309E. doi:10.1038/16830. ISSN 1476-4687. PMID 9950422. S2CID 4302142.
  21. Hu, Yibo; Wu, Qi; Ma, Shuai; Ma, Tianxiao; Shan, Lei; Wang, Xiao; Nie, Yonggang; Ning, Zemin; Yan, Li (2017-01-31). "Comparative genomics reveals convergent evolution between the bamboo-eating giant and red pandas". Proceedings of the National Academy of Sciences. 114 (5): 1081–1086. doi:10.1073/pnas.1613870114. ISSN 0027-8424. PMC 5293045. PMID 28096377.
  22. Abella, Juan; Ruiz-Sánchez, Francisco J.; Valenciano, Alberto; Hontecillas, Daniel; Pérez-Ramos, Alejandro; Vera, Douglas; Santana-Cabrera, Jonathan A.; Cornejo, María H.; Montoya, Plinio (2016-09-01). "When Cotton Rats Grasp Like Pandas". Journal of Mammalian Evolution. 23 (3): 309–317. doi:10.1007/s10914-015-9314-9. hdl:10261/145693. ISSN 1064-7554. S2CID 17239724.
  23. Hutchinson, John R.; Delmer, Cyrille; Miller, Charlotte E.; Hildebrandt, Thomas; Pitsillides, Andrew A.; Boyde, Alan (2011-12-23). "From Flat Foot to Fat Foot: Structure, Ontogeny, Function, and Evolution of Elephant "Sixth Toes"". Science. 334 (6063): 1699–1703. Bibcode:2011Sci...334R1699H. doi:10.1126/science.1211437. ISSN 0036-8075. PMID 22194576. S2CID 206536505.

References

This article is issued from Wikipedia. The text is licensed under Creative Commons - Attribution - Sharealike. Additional terms may apply for the media files.