Retroverted uterus
A retroverted uterus (tilted uterus, tipped uterus) is a uterus that is oriented posteriorly, towards the back of the body. This is in contrast to the typical uterus, which is oriented forward (slightly "anteverted") toward the bladder, with the anterior part slightly concave. Depending on the source, one in three to five uteruses is retroverted, or oriented backwards towards the spine.
| Retroverted uterus | |
|---|---|
| Other names | Tipped uterus |
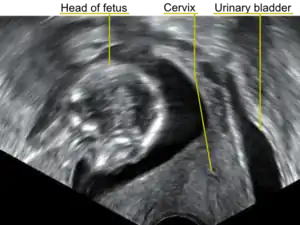
![]() | |
| A transvaginal ultrasound showing a retroverted uterus during pregnancy. The cervix lies posteriorly to the urinary bladder, and the uterus normally extends superiorly from it, but the direction of the body of the fetus reveals that the uterus extends backwards. | |
| Specialty | Gynaecology |
| Treatment | Exercise. Vaginal pessary. Manual repositioning. Surgery. |
Related terms
The following table distinguishes among some of the terms used for the position of the uterus:
A retroverted uterus should be distinguished from the following:

| Distinction | More common | Less common |
| Position overall | "anteverted": oriented forward | "retroverted": oriented backwards |
| Position of fundus | "anteflexed": the fundus (deepest part of uterus) is pointing forward relative to the cervix. Anterior aspect of uterus is concave. | "retroflexed": the fundus is pointing backwards. Anterior aspect of uterus is convex. |
Additional terms include:
- retrocessed uterus: both the superior and inferior ends of the uterus are pushed posteriorly
- severely anteflexed uterus: a pronounced forward bend in an anteflexed uterus
- vertical uterus: the fundus (top of the uterus) is straight up
Causes
In most cases, a retroverted uterus is a normal variation present from birth. There are other factors, however, that can cause the uterus to become retroverted.[1] Pelvic surgery, pelvic adhesions, endometriosis, fibroids, pelvic inflammatory disease, or the labor of childbirth can change the position of the uterus to retroverted.[2]
Diagnosis
A retroverted uterus is usually noted during a routine pelvic examination or with an internal ultrasound.[3]
It usually does not pose any medical problems, though it can be associated with dyspareunia (pain during sexual intercourse) and dysmenorrhea (pain during menstruation).[4]
Fertility and pregnancy
Rarely, a retroverted uterus is due to a disease such as endometriosis, an infection or prior surgery. Those conditions, but not the position of the uterus itself, can reduce fertility in some cases.[5] A tipped uterus will usually move to the middle of the pelvis during the 10th to 12th week of pregnancy. Rarely (1 in 3,000 to 8,000 pregnancies), a retroverted uterus will cause painful and difficult urination and can cause severe urinary retention. Treatment for this condition (called "incarcerated uterus") includes manual anteversion of the uterus, and usually requires intermittent or continuous catheter drainage of the bladder until the problem is rectified or spontaneously resolves by the natural enlargement of the uterus, which brings it out of the tipped position.[6] In addition to manual anteversion and bladder drainage, treatment of urinary retention due to a retroverted uterus can require the use of a pessary, or even surgery. If a uterus does not reposition, it may be labeled persistent.
Treatment
Treatment options are rarely needed, and include exercises, a pessary, manual repositioning, and surgery.
References
- "Retroverted Uterus" Women's Health, 2009, Web. 5 Mar. 2010. <http://www.womens-health.co.uk/retrover.asp>
- "What is a Tilted Uterus" International Society for Sexual Medicine, 9 May. 2021.<https://www.issm.info/sexual-health-qa/what-is-a-tilted-uterus-how-might-it-affect-a-woman-sexually/>
- "Retroversion of the uterus Information | Mount Sinai - New York".
- "What is a tilted uterus how might it affect a woman sexually? - ISSM".
- "Tilted uterus: Can it lead to infertility? - Mayo Clinic". Mayo Clinic.
- Anatomic and Functional Changes of the Lower Urinary Tract During Pregnancy. Urologic Clinics of North America - Volume 34, Issue 1 (February 2007)
