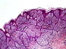
Nevoid melanoma
Nevoid melanoma is a cutaneous condition that may resemble a Spitz nevus or an acquired or congenital melanocytic nevus.[1]

Nevoid melanoma
See also
References
- Rapini, Ronald P.; Bolognia, Jean L.; Jorizzo, Joseph L. (2007). Dermatology: 2-Volume Set. St. Louis: Mosby. ISBN 1-4160-2999-0.
This article is issued from Wikipedia. The text is licensed under Creative Commons - Attribution - Sharealike. Additional terms may apply for the media files.