Lichen sclerosus
Lichen sclerosus (LS) is a chronic, inflammatory skin disease of unknown cause which can affect any body part of any person but has a strong preference for the genitals (penis, vulva) and is also known as balanitis xerotica obliterans (BXO) when it affects the penis. Lichen sclerosus is not contagious. There is a well-documented increase of skin cancer risk in LS, potentially improvable with treatment. LS in adult age women is normally incurable, but improvable with treatment, and often gets progressively worse if not treated properly. Most males with mild or intermediate disease restricted to foreskin or glans can be cured by either medical or surgical treatment.[4]
| Lichen sclerosus | |
|---|---|
| Other names | Balanitis xerotica obliterans, lichen sclerosus et atrophicus,[1] Lichen sclerosis et atrophicus,[2] lichen plan atrophique, lichen plan scléreux, Kartenblattförmige Sklerodermie, Weissflecken Dermatose, lichen albus, lichen planus sclerosus et atrophicus, dermatitis lichenoides chronica atrophicans, kraurosis vulvae[3] |
![]() | |
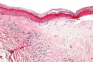
| Micrograph of lichen sclerosus showing the characteristic subepithelial sclerosus (right/bottom of image). H&E stain. | |
| Specialty | Gynaecology |
Signs and symptoms


LS can occur without symptoms. White patches on the LS body area, itching, pain, dyspareunia (in genital LS), easier bruising, cracking, tearing and peeling, and hyperkeratosis are common symptoms in both men and women. In women, the condition most commonly occurs on the vulva and around the anus with ivory-white elevations that may be flat and glistening.
In males, the disease may take the form of whitish patches on the foreskin and its narrowing (preputial stenosis), forming an "indurated ring", which can make retraction more difficult or impossible (phimosis). In addition there can be lesions, white patches or reddening on the glans. In contrast to women, anal involvement is less frequent. Meatal stenosis, making it more difficult or even impossible to urinate, may also occur.
On the non-genital skin, the disease may manifest as porcelain-white spots with small visible plugs inside the orifices of hair follicles or sweat glands on the surface. Thinning of the skin may also occur.[5]
Psychological effect
Distress due to the discomfort and pain of lichen sclerosus is normal, as are concerns with self-esteem and sex. Counseling can help.
According to the National Vulvodynia Association, which also supports women with lichen sclerosus, vulvo-vaginal conditions can cause feelings of isolation, hopelessness, low self-image, and much more. Some women are unable to continue working or have sexual relations and may be limited in other physical activities.[6][7] Depression, anxiety, and even anger are all normal responses to the ongoing pain LS patients experience.
Pathophysiology
Although it is not clear what causes LS, several theories have been postulated. Lichen sclerosus is not contagious; it cannot be caught from another person.[8]
Several risk factors have been proposed, including autoimmune diseases, infections and genetic predisposition.[9][10] There is evidence that LS can be associated with thyroid disease.[11]
Genetic
Lichen sclerosus may have a genetic component. A high correlation of lichen sclerosus has been reported between twins[12][13] and between family members.[14]
Autoimmunity
Autoimmunity is a process in which the body fails to recognize itself and therefore attacks its own cells and tissue. Specific antibodies have been found in LS. Furthermore, there seems to be a higher prevalence of other autoimmune diseases such as diabetes mellitus type 1, vitiligo, alopecia areata, and thyroid disease.[15][16]
Infection
Both bacterial as well as viral pathogens have been implicated in the etiology of LS. A disease that is similar to LS, acrodermatitis chronica atrophicans is caused by the spirochete Borrelia burgdorferi. Viral involvement of HPV[17] and hepatitis C[18] are also suspected.
A link with Lyme disease is shown by the presence of Borrelia burgdorferi in LSA biopsy tissue.[19]
Hormones
Since LS in females is primarily found in women with a low estrogen state (prepubertal and postmenopausal women), hormonal influences were postulated. To date though, very little evidence has been found to support this theory.
Diagnosis

The disease often goes undiagnosed for several years, as it is sometimes not recognized and misdiagnosed as thrush or other problems and not correctly diagnosed until the patient is referred to a specialist when the problem does not clear up.
A biopsy of the affected skin can be done to confirm diagnosis. When a biopsy is done, hyperkeratosis, atrophic epidermis, sclerosis of dermis and lymphocyte activity in dermis are histological findings associated with LS.[24] The biopsies are also checked for signs of dysplasia.[25]
It has been noted that clinical diagnosis of BXO can be "almost unmistakable," though there are other dermatologic conditions such as lichen planus, localized scleroderma, leukoplakia, vitiligo, and the cutaneous rash of Lyme disease can have a similar appearance.[26]
Treatment
Main treatment
There is no definitive cure for LS.[27] Behavior change is part of treatment. The patient should minimize or preferably stop scratching LS-affected skin.[28] Any scratching, stress or damage to the skin can worsen the disease. Scratching has been theorized to increase cancer risks.[29] Furthermore, the patient should wear comfortable clothes and avoid tight clothing, as it is a major factor in the severity of symptoms in some cases.[29][30]
Topically applied corticosteroids to the LS-affected skin are the first-line treatment for lichen sclerosus in women and men, with strong evidence showing that they are "safe and effective" when appropriately applied, even over long courses of treatment, rarely causing serious adverse effects.[31][32][33][34][35] They improve or suppress all symptoms for some time, which highly varies across patients, until it is required to use them again.[36] Methylprednisolone aceponate has been used as a safe and effective corticosteroid for mild and moderate cases.[37] For severe cases, it has been theorized that mometasone furoate might be safer and more effective than clobetasol.[37] Recent studies have shown that topical calcineurin inhibitors such as tacrolimus can have an effect similar to corticosteroids, but its effects on cancer risks in LS are not conclusively known.[38][39] Based on limited evidence, a 2011 Cochrane review concluded that clobetasol propionate, mometasone furoate, and pimecrolimus (calcineurin inhibitor) all are effective therapies in treating genital lichen sclerosus.[40] However, randomized-controlled trials are needed to further identify the optimal potency and regimen of topical corticosteroids and assess the duration of remission and/or the prevention of flares patients experience with these topical therapies.[40]
Continuous usage of appropriate doses of topical corticosteroids is required to ensure symptoms stay relieved over the patient's life time. If continuously used, corticosteroids have been suggested to minimize the risk of cancer in various studies. In a prospective longitudinal cohort study of 507 women throughout 6 years, cancer occurred for 4.7% of patients who were only "partially compliant" with corticosteroid treatment, while it occurred in 0% of cases where they were "fully compliant".[41] In a second study, of 129 patients, cancer occurred in 11% of patients, none of which were fully compliant with corticosteroid treatment.[37] Both these studies however also said that a corticosteroid as powerful as clobetasol is not necessary in most cases. In a prospective study of 83 patients, throughout 20 years, 8 patients developed cancer. 6 already had cancer at presentation and had not had treatment, while the other 2 were not taking corticosteroids often enough.[36] In all three studies, every single cancer case observed occurred in patients who weren't taking corticosteroids as often as the study recommended.
Continuous, abundant usage of emollients topically applied to the LS-affected skin is recommended to improve symptoms. They can supplement but not replace corticosteroid therapy.[32][34][42] They can be used much more frequently than corticosteroids due to the extreme rarity of serious adverse effects. Appropriate lubrication should be used every time before and during sex in genital LS in order to avoid pain and worsening the disease.[43] Some oils such as olive oil and coconut oil can be used to accomplish both the emollient and sexual lubrication function.
In males, it has been reported that circumcision can have positive effects, but does not necessarily prevent further flares of the disease[44] and does not protect against the possibility of cancer.[45] Circumcision does not prevent or cure LS; in fact, "balanitis xerotica obliterans" in men was first reported as a condition affecting a set of circumcised men, by Stühmer in 1928.[3]
Other treatments
Carbon dioxide laser treatment is safe and effective, and it improves symptoms over a long time,[46] but it does not lower cancer risks.
Platelet-rich plasma was reported to be effective in one study, producing large improvements in the patients' quality of life, with an average IGA improvement of 2.04 and DLQI improvement of 7.73.[47]
Prognosis
The disease can last for a considerably long time. Occasionally, "spontaneous cure" may ensue,[48] particularly in young girls.
Lichen sclerosus is associated with a higher risk of cancer.[49][50][51] Skin that has been scarred as a result of lichen sclerosus is more likely to develop skin cancer. Women with lichen sclerosus may develop vulvar carcinoma.[52][53] Lichen sclerosus is associated with 3–7% of all cases of vulvar squamous cell carcinoma.[54] In women, it has been reported that 33.6 times higher vulvar cancer risk is associated with LS.[55][56] A study in men reported that "The reported incidence of penile carcinoma in patients with BXO is 2.6–5.8%".[57]
Epidemiology
There is a bimodal age distribution in the incidence of LS in women. It occurs in females with an average age of diagnosis of 7.6 years in girls and 60 years old in women. The average age of diagnosis in boys is 9–11 years old.[58]
In men, the most common age of incidence is 21–30.[59]
History
In 1875, Weir reported what was possible vulvar or oral LS as "ichthyosis." In 1885, Breisky described kraurosis vulvae. In 1887, Hallopeau described a series of extragenital cases of LS. In 1892, Darier formally described the classic histopathology of LS. In 1900 the concept was formed that scleroderma and LS are closely related, which continues to this day. In 1901, pediatric LS was described. From 1913 to present, the concept that scleroderma is not closely related to LS also was formed. In 1920, Taussig established vulvectomy as the treatment of choice for kraurosis vulvae, a premalignant condition. In 1927, Kyrle defined LS ("white spot disease") as an entity sui generis. In 1928, Stühmer described balanitis xerotica obliterans as a postcircumcision phenomenon. In 1936, retinoids (vitamin A) were used in LS. In 1945, testosterone was used in genital LS. In 1961, the use of corticosteroids started. Jeffcoate presented an argument against vulvectomy for simple LS. In 1971, progesterone was used in LS. Wallace defined clinical factors and the epidemiology of LS. In 1976, Friedrich defined LS as a dystrophic, not an atrophic condition; "et atrophicus" was dropped. The International Society for Study of Vulvar Disease classification system established that "kraurosis" and "leukoplakia" were no longer to be used. In 1980, fluorinated and superpotent steroids were first used in LS. In 1981, studies into HLA serotypes and LS were published. In 1984, etretinate and acetretin were used in LS. In 1987, LS was linked with Borrelia infection.[3]
Lichen sclerosus et atrophicus was first described in 1887 by François Henri Hallopeau.[60] Since not all cases of lichen sclerosus exhibit atrophic tissue, et atrophicus was dropped in 1976 by the International Society for the Study of Vulvovaginal Disease (ISSVD), officially proclaiming the name lichen sclerosus.[61]
See also
References
- James, William D.; Berger, Timothy G. (2006). Andrews' Diseases of the Skin: clinical Dermatology. Saunders Elsevier. p. 227. ISBN 0-7216-2921-0.
- "Lichen sclerosus". Autoimmune Registry Inc. Retrieved 14 June 2022.
- Meffert, Jeffrey J; Davis, Brian M; Grimwood, Ronald E (March 1995). "Lichen sclerosus". Journal of the American Academy of Dermatology. 32 (3): 393–416. doi:10.1016/0190-9622(95)90060-8. PMID 7868709.
- European Dermatology Forum Guideline on Lichen Sclerosus (2014)
- Laymon, CW (1951). "Lichen sclerosus et atrophicus and related disorders". AMA Archives of Dermatology and Syphilology. 64 (5): 620–627. doi:10.1001/archderm.1951.01570110090013. PMID 14867888.
- National Vulvodynia Association. "Vulvodynia Fact Sheet". Vulvodynia Media Corner. National Vulvodynia Association. Retrieved 16 June 2012.
- Gutierrez-Ontalvilla, Patricia (2019). "The Female Sexual Function Index to assess patients with moderate to severe vulvar lichen sclerosus". European Journal of Dermatology. 29 (4): 430–431. doi:10.1684/ejd.2019.3580. PMID 31625922. S2CID 204775452.
- National Institute of Health. "Fast Facts About Lichen Sclerosus". Lichen Sclerosus. National Institute of Arthritis and Musculoskeletal and Skin Diseases. Retrieved 16 June 2012.
- Yesudian, PD; Sugunendran, H; Bates, CM; O'Mahony, C (2005). "Lichen sclerosus". International Journal of STD & AIDS. 16 (7): 465–473. doi:10.1258/0956462054308440. PMID 16004624. S2CID 21471620.
- Regauer, S (2005). "Immune dysregulation in lichen sclerosus". European Journal of Cell Biology. 84 (2–3): 273–277. doi:10.1016/j.ejcb.2004.12.003. PMID 15819407.
- Birenbaum, DL; Young, RC (2007). "High prevalence of thyroid disease in patients with lichen sclerosus". The Journal of Reproductive Medicine. 52 (1): 28–30. PMID 17286064.
- Meyrick Thomas, RH; Kennedy, CT (Mar 1986). "The development of lichen sclerosus et atrophicus in monozygotic twin girls". The British Journal of Dermatology. 114 (3): 377–379. doi:10.1111/j.1365-2133.1986.tb02831.x. PMID 3954957. S2CID 11142666.
- Cox, NH; Mitchell, JN; Morley, WN (Dec 1986). "Lichen sclerosus et atrophicus in non-identical female twins". The British Journal of Dermatology. 115 (6): 743–746. doi:10.1111/j.1365-2133.1986.tb06659.x. PMID 3801314. S2CID 40455781.
- Sherman, V; McPherson, T; Baldo, M; Salim, A; Gao, XH; Wojnarowska, F (Sep 2010). "The high rate of familial lichen sclerosus suggests a genetic contribution: an observational cohort study". Journal of the European Academy of Dermatology and Venereology. 24 (9): 1031–1034. doi:10.1111/j.1468-3083.2010.03572.x. PMID 20202060. S2CID 1358288.
- Meyrick Thomas, RH; Ridley, CM; McGibbon, DH; Black, MM (1988). "Lichen sclerosus et atrophicus and autoimmunity—a study of 350 women". British Journal of Dermatology. 118 (1): 41–46. doi:10.1111/j.1365-2133.1988.tb01748.x. PMID 3342175. S2CID 37200022.
- Fruchter, R.; Melnick, L.; Pomeranz, M.K. (2017-03-27). "Lichenoid vulvar disease: A review". International Journal of Women's Dermatology. 3 (1): 58–64. doi:10.1016/j.ijwd.2017.02.017. ISSN 2352-6475. PMC 5419035. PMID 28492056.
- Drut, RM; Gomez, MA; Drut, R; Lojo, MM (1998). "Human papillomavirus is present in some cases of childhood penile lichen sclerosus: an in situ hybridization and SP-PCR study". Pediatric Dermatology. 15 (2): 85–90. doi:10.1046/j.1525-1470.1998.1998015085.x. PMID 9572688. S2CID 10110510.
- Yashar, S; Han, KF; Haley, JC (2004). "Lichen sclerosus-lichen planus overlap in a patient with hepatitis C virus infection". British Journal of Dermatology. 150 (1): 168–169. doi:10.1111/j.1365-2133.2004.05707.x. PMID 14746647. S2CID 9261207.
- Eisendle, K; Grabner, TG; Kutzner, H (2008). "Possible Role of Borrelia burgdorferi Sensu Lato Infection in Lichen Sclerosus". Archives of Dermatology. 144 (5): 591–598. doi:10.1001/archderm.144.5.591. PMID 18490585.
- Pass, CJ (1984). "An unusual variant of lichen sclerosus et atrophicus: delayed appearance in a surgical scar". Cutis. 33 (4): 405. PMID 6723373.
- Milligan, A; Graham-Brown, RA; Burns, DA (1988). "Lichen sclerosus et atrophicus following sunburn". Clinical and Experimental Dermatology. 13 (1): 36–37. PMID 3208439.
- Yates, VM; King, CM; Dave, VK (1985). "Lichen sclerosus et atrophicus following radiation therapy". Archives of Dermatology. 121 (8): 1044–1047. doi:10.1001/archderm.121.8.1044. PMID 4026344.
- Jędrowiak, Anna; Kobusiewicz, Aleksandra; Trznadel-Grodzka, Ewa; Kaszuba, Andrzej (2018). "Dermoscopic findings in extragenital lichen sclerosus". Our Dermatology Online. 9 (2): 197–199. doi:10.7241/ourd.20182.24. ISSN 2081-9390.
- "Figures - available via license: CC BY 4.0" - Lichen Sclerosus et Atrophicus at eMedicine
- Shelley, W. B.; Shelley, E. D.; Amurao, C. V. (2006). "Treatment of lichen sclerosus with antibiotics". International Journal of Dermatology. 45 (9): 1104–1106. doi:10.1111/j.1365-4632.2006.02978.x. PMID 16961523. S2CID 27778016.
- Depasquale, I.; Park, A.J.; Bracka, A. (2000). "The treatment of balanitis xerotica obliterans". BJU International. 86 (4): 459–465. doi:10.1046/j.1464-410X.2000.00772.x. ISSN 1464-4096. PMID 10971272. S2CID 32219826.
- Chi, CC; Kirtschig, G; Baldo, M; Lewis, F; Wang, SH; Wojnarowska, F (Aug 2012). "Systematic review and meta-analysis of randomized controlled trials on topical interventions for genital lichen sclerosus". Journal of the American Academy of Dermatology. 67 (2): 305–12. doi:10.1016/j.jaad.2012.02.044. PMID 22483994.
- "ACOG Practice Bulletin No. 93: Diagnosis and Management of Vulvar Skin Disorders". Obstetrics & Gynecology. 111 (5): 1243–53. May 2008. doi:10.1097/AOG.0b013e31817578ba. PMID 18448767.
- Scurry (March 1999). "Does lichen sclerosus play a central role in the pathogenesis of human papillomavirus negative vulvar squamous cell carcinoma? The itch-scratch-lichen sclerosus hypothesis". International Journal of Gynecological Cancer. 9 (2): 89–97. doi:10.1046/j.1525-1438.1999.99016.x. PMID 11240748.
- Todd, P.; Halpern, S.; Kirby, J.; Pembroke, A. (1994). "Lichen sclerosus and the Kobner phenomenon". Clinical and Experimental Dermatology. 19 (3): 262–263. doi:10.1111/j.1365-2230.1994.tb01183.x. ISSN 0307-6938. PMID 8033394. S2CID 29331610.
- Dalziel, K.L.; Millard, P.R.; Wojnarowska, F. (1991). "The treatment of vulval lichen sclerosus with a very potent topical steroid (clobetasol Propionate 0.05%) cream". British Journal of Dermatology. 124 (5): 461–464. doi:10.1111/j.1365-2133.1991.tb00626.x. ISSN 0007-0963. PMID 2039723. S2CID 44975544.
- Garzon, Maria C.; Paller, Amy S. (1999). "Ultrapotent Topical Corticosteroid Treatment of Childhood Genital Lichen Sclerosus". Archives of Dermatology. 135 (5): 525–8. doi:10.1001/archderm.135.5.525. ISSN 0003-987X. PMID 10328191.
- Dahlman-Ghozlan, Kristina; Hedblad, Mari-Anne; von Krogh, Geo (1999). "Penile lichen sclerosus et atrophicus treated with clobetasol dipropionate 0.05% cream: A retrospective clinical and histopathologic study". Journal of the American Academy of Dermatology. 40 (3): 451–457. doi:10.1016/S0190-9622(99)70496-2. ISSN 0190-9622. PMID 10071317.
- Neill, S.M.; Lewis, F.M.; Tatnall, F.M.; Cox, N.H. (2010). "British Association of Dermatologists' guidelines for the management of lichen sclerosus 2010". British Journal of Dermatology. 163 (4): 672–682. doi:10.1111/j.1365-2133.2010.09997.x. ISSN 0007-0963. PMID 20854400. S2CID 16634027.
- Neill, S.M.; Tatnall, F.M.; Cox, N.H. (2002). "Guidelines for the management of lichen sclerosus". British Journal of Dermatology. 147 (4): 640–649. doi:10.1046/j.1365-2133.2002.05012.x. ISSN 0007-0963. PMID 12366407. S2CID 31834145.
- Renaud-Vilmer, Catherine; Cavelier-Balloy, Bénédicte; Porcher, Raphaël; Dubertret, Louis (2004). "Vulvar Lichen Sclerosus". Archives of Dermatology. 140 (6): 709–712. doi:10.1001/archderm.140.6.709. ISSN 0003-987X. PMID 15210462.
- Bradford, J.; Fischer, G. (2010). "Long-term management of vulval lichen sclerosus in adult women". Australian and New Zealand Journal of Obstetrics and Gynaecology. 50 (2): 148–152. doi:10.1111/j.1479-828X.2010.01142.x. ISSN 0004-8666. PMID 20522071. S2CID 43273940.
- Li, Y; Xiao, Y; Wang, H; Li, H; Luo, X (Aug 2013). "Low-concentration topical tacrolimus for the treatment of anogenital lichen sclerosus in childhood: maintenance treatment to reduce recurrence". Journal of Pediatric and Adolescent Gynecology. 26 (4): 239–42. doi:10.1016/j.jpag.2012.11.010. PMID 24049806.
- Maassen, MS; van Doorn, HC (2012). "[Topical treatment of vulvar lichen sclerosus with calcineurin inhibitors]". Nederlands Tijdschrift voor Geneeskunde. 156 (36): A3908. PMID 22951124.
- Chi, Ching-Chi; Kirtschig, Gudula; Baldo, Maha; Brackenbury, Fabia; Lewis, Fiona; Wojnarowska, Fenella (2011-12-07). "Topical interventions for genital lichen sclerosus". The Cochrane Database of Systematic Reviews. 2011 (12): CD008240. doi:10.1002/14651858.CD008240.pub2. ISSN 1469-493X. PMC 7025763. PMID 22161424.
- Lee, Andrew; Bradford, Jennifer; Fischer, Gayle (2015). "Long-term Management of Adult Vulvar Lichen Sclerosus". JAMA Dermatology. 151 (10): 1061–7. doi:10.1001/jamadermatol.2015.0643. ISSN 2168-6068. PMID 26070005.
- Fistarol, Susanna K.; Itin, Peter H. (2012). "Diagnosis and Treatment of Lichen Sclerosus". American Journal of Clinical Dermatology. 14 (1): 27–47. doi:10.1007/s40257-012-0006-4. ISSN 1175-0561. PMC 3691475. PMID 23329078.
- Smith, Yolanda R; Haefner, Hope K (2004). "Vulvar Lichen Sclerosus". American Journal of Clinical Dermatology. 5 (2): 105–125. doi:10.2165/00128071-200405020-00005. ISSN 1175-0561. PMID 15109275. S2CID 22448081.
- Lewis, F.M.; Tatnall, F.M.; Velangi, S.S.; Bunker, C.B.; Kumar, A.; Brackenbury, F.; Mohd Mustapa, M.F.; Exton, L.S.; McHenry, P.M.; Leslie, T.A.; Wakelin, S.; Hunasehally, R.Y.P.; Cork, M.; Johnston, G.A.; Chiang, N.; Worsnop, F.S.; Buckley, D.; Petrof, G.; Salin, A.; Callachand, N.; Saunders, C.; Salad, A.A. (April 2018). "British Association of Dermatologists guidelines for the management of lichen sclerosus, 2018". British Journal of Dermatology. 178 (4): 839–853. doi:10.1111/bjd.16241. PMID 29313888. S2CID 3416734.
- Powell, J.; Robson, A.; Cranston, D.; Wojnarowska, F.; Turner, R. (2001). "High incidence of lichen sclerosus in patients with squamous cell carcinoma of the penis". British Journal of Dermatology. 145 (1): 85–89. doi:10.1046/j.1365-2133.2001.04287.x. ISSN 0007-0963. PMID 11453912. S2CID 24738069.
- Windahl, T. (2009). "Is carbon dioxide laser treatment of lichen sclerosus effective in the long run?". Scandinavian Journal of Urology and Nephrology. 40 (3): 208–211. doi:10.1080/00365590600589666. ISSN 0036-5599. PMID 16809261. S2CID 36979154.
- Casabona, Francesco; Gambelli, Ilaria; Casabona, Federica; Santi, Pierluigi; Santori, Gregorio; Baldelli, Ilaria (2017). "Autologous platelet-rich plasma (PRP) in chronic penile lichen sclerosus: the impact on tissue repair and patient quality of life". International Urology and Nephrology. 49 (4): 573–580. doi:10.1007/s11255-017-1523-0. ISSN 0301-1623. PMID 28161837. S2CID 11499796.
- Smith SD, Fischer G (2009). "Childhood onset vulvar lichen sclerosus does not resolve at puberty: a prospective case series". Pediatric Dermatology. 26 (6): 725–9. doi:10.1111/j.1525-1470.2009.01022.x. PMID 20199450. S2CID 205677253.
- Nasca, MR; Innocenzi, D; Micali, G (1999). "Penile cancer among patients with genital lichen sclerosus". Journal of the American Academy of Dermatology. 41 (6): 911–914. doi:10.1016/S0190-9622(99)70245-8. PMID 10570372.
- Poulsen, H; Junge, J; Vyberg, M; Horn, T; Lundvall, F (2003). "Small vulvar squamous cell carcinomas and adjacent tissues. A morphologic study". APMIS. 111 (9): 835–842. doi:10.1034/j.1600-0463.2003.1110901.x. PMID 14510640. S2CID 23716949.
- Barbagli, G; Palminteri, E; Mirri, F; Guazzoni, G; Turini, D; Lazzeri, M (2006). "Penile carcinoma in patients with genital lichen sclerosus: a multicenter survey". Journal of Urology. 175 (4): 1359–1363. doi:10.1016/S0022-5347(05)00735-4. PMID 16515998.
- Rotondo JC, Borghi A, Selvatici R, Mazzoni E, Bononi I, Corazza M, Kussini J, Montinari E, Gafà R, Tognon M, Martini F (2018). "Association of Retinoic Acid Receptor β Gene With Onset and Progression of Lichen Sclerosus-Associated Vulvar Squamous Cell Carcinoma". JAMA Dermatology. 154 (7): 819–823. doi:10.1001/jamadermatol.2018.1373. PMC 6128494. PMID 29898214.
- van de Nieuwenhof, HP; van der Avoort, IA; de Hullu, JA (2008). "Review of squamous premalignant vulvar lesions". Critical Reviews in Oncology/Hematology. 68 (2): 131–156. doi:10.1016/j.critrevonc.2008.02.012. PMID 18406622.
- Henquet, CJ (Aug 2011). "Anogenital malignancies and pre-malignancies". Journal of the European Academy of Dermatology and Venereology. 25 (8): 885–95. doi:10.1111/j.1468-3083.2010.03969.x. PMID 21272092. S2CID 24203150.
- Rotondo JC, Borghi A, Selvatici R, Magri E, Bianchini E, Montinari E, Corazza M, Virgili A, Tognon M, Martini F (2016). "Hypermethylation-Induced Inactivation of the IRF6 Gene as a Possible Early Event in Progression of Vulvar Squamous Cell Carcinoma Associated With Lichen Sclerosus". JAMA Dermatology. 152 (8): 928–33. doi:10.1001/jamadermatol.2016.1336. PMID 27223861.
- Halonen, Pia; Jakobsson, Maija; Heikinheimo, Oskari; Riska, Annika; Gissler, Mika; Pukkala, Eero (2017). "Lichen sclerosus and risk of cancer". International Journal of Cancer. 140 (9): 1998–2002. doi:10.1002/ijc.30621. ISSN 0020-7136. PMID 28124469.
- Pietrzak, Peter; Hadway, Paul; Corbishley, Cathy M.; Watkin, Nicholas A. (2006). "Is the association between balanitis xerotica obliterans and penile carcinoma underestimated?". BJU International. 98 (1): 74–76. doi:10.1111/j.1464-410X.2006.06213.x. ISSN 1464-4096. PMID 16831147.
- Fistarol, Susanna K (2013). "Diagnosis and treatment of lichen sclerosus: an update". Journal of the American Academy of Dermatology. 14 (1): 27–47. doi:10.1007/s40257-012-0006-4. PMC 3691475. PMID 23329078.
- Kizer, William S.; Prarie, Troy; Morey, Allen F. (January 2003). "Balanitis Xerotica Obliterans: Epidemiologic Distribution in an Equal Access Health Care System". Southern Medical Journal. 96 (1): 9–11. doi:10.1097/00007611-200301000-00004. PMID 12602705. S2CID 45454913.
- Hallopeau, H (1887). "Du lichen plan et particulièrement de sa forme atrophique: lichen plan scléreux". Annales de Dermatologie et de Syphiligraphie (8): 790–791.
- Friedrich Jr., EG (1976). "Lichen sclerosus". The Journal of Reproductive Medicine. 17 (3): 147–154. PMID 135083.
External links
- NIAMS – Questions and Answers About Lichen Sclerosus
- NIAMS – Fast Facts About Lichen Sclerosus
- dermnetnz.org
- better medicine
- Medscape Reference Author: Jeffrey Meffert, MD; Chief Editor: Dirk M Elston, MD
Medical pictures
