Extrapulmonary tuberculosis
Extrapulmonary tuberculosis is tuberculosis (TB) within a location in the body other than the lungs. It accounts for an increasing fraction of active cases, from 20 to 40% according to published reports,[2] and causes other kinds of TB.[3][4] These are collectively denoted as "extrapulmonary tuberculosis".[4] Extrapulmonary TB occurs more commonly in immunosuppressed persons and young children. In those with HIV, this occurs in more than 50% of cases.[4] Notable extrapulmonary infection sites include the pleura (in tuberculous pleurisy), the central nervous system (in tuberculous meningitis), the lymphatic system (in scrofula of the neck), the genitourinary system (in urogenital tuberculosis), and the bones and joints (in Pott disease of the spine), among others.

Infection of the lymph nodes, known as tubercular lymphadenitis, is the most common extrapulmonary form of tuberculosis.[4][5] An ulcer originating from nearby infected lymph nodes may occur and is painless. It typically enlarges slowly and has an appearance of "wash leather".[6]
.jpg.webp)
When it spreads to the bones, it is known as skeletal tuberculosis,[4] a form of osteomyelitis.[7] Tuberculosis has been present in humans since ancient times.[8]
Central nervous system infections include tuberculous meningitis, intracranial tuberculomas, and spinal tuberculous arachnoiditis.[4]
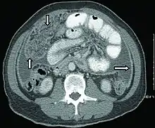
Gastrointestinal
Abdominal infections include gastrointestinal tuberculosis (which is important to distinguish from Crohn's disease, since immunosuppressive therapy used for the latter can lead to dissemination), tuberculous peritonitis, and genitourinary tuberculosis.[4]
A potentially more serious, widespread form of TB is called "disseminated tuberculosis", also known as miliary tuberculosis.[9] Miliary TB currently makes up about 10% of extrapulmonary cases.[10]
Pleural effusion
This condition is one of the common forms of extrapulmonary tuberculosis. It occurs during acute phases of the disease, with fever, cough, and pain while breathing (pleurisy). Pleural fluid usually contains mainly lymphocytes and the Mycobacterium bacteria. Gold standard of diagnosis is the detection of Mycobacterium in pleural fluid. Other diagnostic tests include the detection of adenosine deaminase (above 40 U/L) and interferon gamma in pleural fluid.[11]
References
- Akce, Mehmet; Bonner, Sarah; Liu, Eugene; Daniel, Rebecca (2014). "Peritoneal Tuberculosis Mimicking Peritoneal Carcinomatosis". Case Reports in Medicine. 2014: 1–3. doi:10.1155/2014/436568. ISSN 1687-9627. PMC 3970461. PMID 24715911. CC-BY 3.0
- Mazza-Stalder J, Nicod L, Janssens JP (2012). "La tuberculose extrapulmonaire [Extrapulmonary tuberculosis]". Revue des Maladies Respiratoires. 29 (4): 566–578. doi:10.1016/j.rmr.2011.05.021. PMID 22542414.
- Ketata W, Rekik WK, Ayadi H, Kammoun S (2015). "Les tuberculoses extrapulmonaires [Extrapulmonary tuberculosis]". Revue de Pneumologie Clinique. 71 (2–3): 83–92. doi:10.1016/j.pneumo.2014.04.001. PMID 25131362.
- Golden MP, Vikram HR (2005). "Extrapulmonary tuberculosis: an overview". American Family Physician. 72 (9): 1761–8. PMID 16300038.
- Rockwood, RR (August 2007). "Extrapulmonary TB: what you need to know". The Nurse Practitioner. 32 (8): 44–9. doi:10.1097/01.npr.0000282802.12314.dc. PMID 17667766.
- Burkitt, H. George (2007). Essential Surgery: Problems, Diagnosis & Management 4th ed. p. 34. ISBN 9780443103452.
- Kumar V, Abbas AK, Fausto N, Mitchell RN (2007). Robbins Basic Pathology (8th ed.). Saunders Elsevier. pp. 516–522. ISBN 978-1-4160-2973-1.
- Lawn, SD; Zumla, AI (2 July 2011). "Tuberculosis". Lancet. 378 (9785): 57–72. doi:10.1016/S0140-6736(10)62173-3. PMID 21420161. S2CID 208791546.
- Dolin, [edited by] Gerald L. Mandell, John E. Bennett, Raphael (2010). Mandell, Douglas, and Bennett's principles and practice of infectious diseases (7th ed.). Philadelphia, PA: Churchill Livingstone/Elsevier. pp. Chapter 250. ISBN 978-0-443-06839-3.
{{cite book}}:|first=has generic name (help) - Ghosh, editors-in-chief, Thomas M. Habermann, Amit K. (2008). Mayo Clinic internal medicine: concise textbook. Rochester, MN: Mayo Clinic Scientific Press. p. 789. ISBN 978-1-4200-6749-1. Archived from the original on 6 September 2015.
{{cite book}}:|first=has generic name (help) - Zhai K, Lu Y, Shi HZ (July 2016). "Tuberculous pleural effusion". Journal of Thoracic Disease. 8 (7): E486–94. doi:10.21037/jtd.2016.05.87. PMC 4958858. PMID 27499981.
